

貨號
產品規格
售價
備注
BN41782R-50ul
50ul
¥1486.00
交叉反應:Human,Mouse,Rat 推薦應用:IHC-P,IF,ELISA
BN41782R-100ul
100ul
¥2360.00
交叉反應:Human,Mouse,Rat 推薦應用:IHC-P,IF,ELISA
產品描述
| 英文名稱 | Ki-67 |
| 中文名稱 | Ki67蛋白抗體 |
| 別 名 | Antigen identified by monoclonal antibody Ki 67; Antigen KI67; KIA; Ki-67; Ki67; MKI67; Proliferation related Ki 67 antigen; Antigen KI-67; KI67_HUMAN. |
| 研究領域 | 腫瘤 細胞生物 信號轉導 轉錄調節因子 |
| 抗體來源 | Rabbit |
| 克隆類型 | Polyclonal |
| 交叉反應 | Human, Mouse, Rabbit, (predicted: Rat, ) |
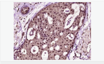
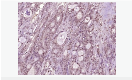
| 產品應用 | ELISA=1:5000-10000 IHC-P=1:100-500 IHC-F=1:100-500 Flow-Cyt=1μg/Test (石蠟切片需做抗原修復) not yet tested in other applications. optimal dilutions/concentrations should be determined by the end user. |
| 分 子 量 | 358kDa |
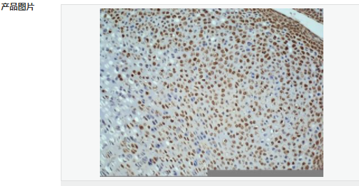
| 細胞定位 | 細胞核 |
| 性 狀 | Liquid |
| 濃 度 | 1mg/ml |
| 免 疫 原 | KLH conjugated synthetic peptide derived from human Ki67:1201-1300/3256 |
| 亞 型 | IgG |
| 純化方法 | affinity purified by Protein A |
| 儲 存 液 | 0.01M TBS(pH7.4) with 1% BSA, 0.03% Proclin300 and 50% Glycerol. |
| 保存條件 | Shipped at 4℃. Store at -20 °C for one year. Avoid repeated freeze/thaw cycles. |
| PubMed | PubMed |
| 產品介紹 | Proliferation Marker Ki67 antigen is the prototypic cell cycle related nuclear protein, expressed by proliferating cells in all phases of the active cell cycle (G1, S, G2 and M phase). It is absent in resting (G0) cells. Ki67 antibodies are useful in establishing the cell growing fraction in neoplasms (immunohistochemically quantified by determining the number of Ki67 positive cells among the total number of resting cells = Ki67 index). In neoplastic tissues the prognostic value is comparable to the tritiated thymidine labelling index. The correlation between low Ki67 index and histologically low grade tumours is strong. Ki67 is routinely used as a neuronal marker of cell cycling and proliferation. Function: Thought to be required for maintaining cell proliferation. Subcellular Location: Nucleus. Chromosome. Predominantly localized in the G1 phase in the perinucleolar region, in the later phases it is also detected throughout the nuclear interior, being predominantly localized in the nuclear matrix. In mitosis, it is present on all chromosomes. Similarity: Contains 1 FHA domain. SWISS: P46013 Gene ID: 4288 Database links: Entrez Gene: 4288 Human Entrez Gene: 17345 Mouse Omim: 176741 Human SwissProt: P46013 Human SwissProt: Q91VE6 Mouse Unigene: 689823 Human Unigene: 80976 Human Unigene: 4078 Mouse Unigene: 233802 Rat Important Note: This product as supplied is intended for research use only, not for use in human, therapeutic or diagnostic applications. 細胞增殖標志物(Proliferation Marker) Ki67與PCNA一樣,為細胞增殖的一種標記,在細胞凋亡中S、G2 、M期均有表達,G0期缺如。 Ki-67增殖指數高低與許多腫瘤的分化程度、浸潤、轉移以及預后密切相關,因此被廣泛作為各種惡性腫瘤的必檢項目之一。 |





