

貨號
產品規格
售價
備注
BN41600R-50ul
50ul
¥1486.00
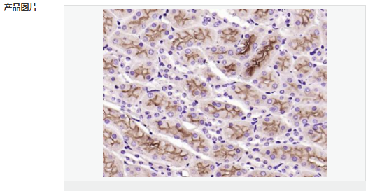
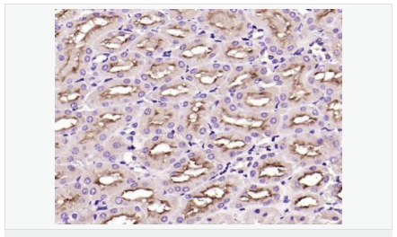
交叉反應:Human,Mouse,Rat(predicted:Dog,Pig,Cow,Horse,Sheep,GuineaPig) 推薦應用:IHC-P,IHC-F,IF,Flow-Cyt,ELISA
BN41600R-100ul
100ul
¥2360.00
交叉反應:Human,Mouse,Rat(predicted:Dog,Pig,Cow,Horse,Sheep,GuineaPig) 推薦應用:IHC-P,IHC-F,IF,Flow-Cyt,ELISA
BN41600R-200ul
200ul
¥3490.00
交叉反應:Human,Mouse,Rat(predicted:Dog,Pig,Cow,Horse,Sheep,GuineaPig) 推薦應用:IHC-P,IHC-F,IF,Flow-Cyt,ELISA
產品描述
| 英文名稱 | ET-1 |
| 中文名稱 | 內皮素-1抗體 |
| 別 名 | Endothelin-1; Big endothelin 1; EDN 1; EDN1; EDN1 protein; Endothelin1; ET 1; ET1; OTTHUMP00000039245; PPET1; Preproendothelin 1; Preproendothelin1. |
| 研究領域 | 心血管 細胞生物 免疫學 神經生物學 激酶和磷酸酶 |
| 抗體來源 | Rabbit |
| 克隆類型 | Polyclonal |
| 交叉反應 | Human, Mouse, Rat, (predicted: Dog, Pig, Cow, Horse, Sheep, Guinea Pig, ) |
| 產品應用 | ELISA=1:5000-20000 IHC-P=1:100-500 IHC-F=1:100-500 Flow-Cyt=1ug/Test IF=1:100-500 (石蠟切片需做抗原修復) not yet tested in other applications. optimal dilutions/concentrations should be determined by the end user. |
| 分 子 量 | 2.5kDa |
| 細胞定位 | 分泌型蛋白 |
| 性 狀 | Liquid |
| 濃 度 | 1mg/ml |
| 免 疫 原 | KLH conjugated synthetic peptide derived from human ET-1(CSCSSLMDKECVYFCHLDIIW Disulfide bridges C1-C15, C3-C11):53-73/202 |
| 亞 型 | IgG |
| 純化方法 | affinity purified by Protein A |
| 儲 存 液 | 0.01M TBS(pH7.4) with 1% BSA, 0.03% Proclin300 and 50% Glycerol. |
| 保存條件 | Shipped at 4℃. Store at -20 °C for one year. Avoid repeated freeze/thaw cycles. |
| PubMed | PubMed |
| 產品介紹 | Endothelins (ET) show potent constrictor activity in vascular and non-vascular smooth muscle. This family of 21-amino acid peptides exists in at least three isoforms - ET-1, ET-2, and ET-3, and is produced in endothelial and epithelial cells. ET's can mediate biological effects in cells and tissues, and have been shown to bind to an ET receptor in the lung, kidney, heart, and liver. Endothelin 1 is expressed in lung, placental stem villi vessels and in cultured placental vascular smooth muscle cells. Function: Endothelins are endothelium-derived vasoconstrictor peptides. Subcellular Location: Secreted. Tissue Specificity: Expressed in lung, placental stem villi vessels and in cultured placental vascular smooth muscle cells. Similarity: Belongs to the endothelin/sarafotoxin family. SWISS: P05305 Gene ID: 1906 Database links: Entrez Gene: 1906 Human Entrez Gene: 13614 Mouse Omim: 131240 Human SwissProt: P05305 Human SwissProt: P22387 Mouse Unigene: 511899 Human Unigene: 713645 Human Unigene: 10918 Rat Important Note: This product as supplied is intended for research use only, not for use in human, therapeutic or diagnostic applications. 內皮素(Endothelin-1,ET)是一種強的血管收縮劑,分為ET-1,ET-2,ET-3 三種,ET-1主要在內皮細胞中表達,而ET-2和ET-3則主要在神經系統中表達。ET具有廣泛的生物學作用,此抗體是針對內皮素的活性片段(CSCSSLMDKECVYFCHLDIIW Disulfide bridges C1-C15, C3-C11)。 |


