

貨號
產品規格
售價
備注
BN41529R-50ul
50ul
¥1486.00
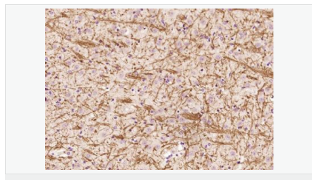
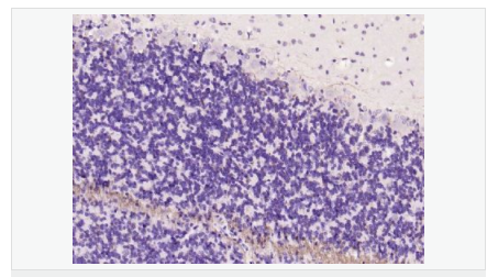
交叉反應:Human,Mouse,Rat,GuineaPig(predicted:Pig) 推薦應用:WB,IHC-P,IHC-F,IF,Flow-Cyt,ELISA
BN41529R-100ul
100ul
¥2360.00
交叉反應:Human,Mouse,Rat,GuineaPig(predicted:Pig) 推薦應用:WB,IHC-P,IHC-F,IF,Flow-Cyt,ELISA
BN41529R-200ul
200ul
¥3490.00
交叉反應:Human,Mouse,Rat,GuineaPig(predicted:Pig) 推薦應用:WB,IHC-P,IHC-F,IF,Flow-Cyt,ELISA
產品描述
| 英文名稱 | MBP |
| 中文名稱 | 髓鞘堿性蛋白/磷脂堿性蛋白抗體 |
| 別 名 | Myelin Basic Protein; Myelin basic protien; GDB; Golli MBP; Hemopoietic MBP; HMBPR; HUGO; MBP; MGC99675; MLD; Myelin A1 Protein; Myelin Deficient; Myelin Membrane Encephalitogenic Protein; SHI; Shiverer; SP; MBP_HUMAN . |
| 研究領域 | 神經生物學 生長因子和激素 激酶和磷酸酶 |
| 抗體來源 | Rabbit |
| 克隆類型 | Polyclonal |
| 交叉反應 | Human, Mouse, Rat, (predicted: Pig, Guinea Pig, ) |
| 產品應用 | WB=1:500-2000 ELISA=1:5000-10000 IHC-P=1:100-500 IHC-F=1:100-500 Flow-Cyt=1ug/test IF=1:100-500 (石蠟切片需做抗原修復) not yet tested in other applications. optimal dilutions/concentrations should be determined by the end user. |
| 分 子 量 | 33kDa |
| 細胞定位 | 細胞核 細胞膜 |
| 性 狀 | Liquid |
| 濃 度 | 1mg/ml |
| 免 疫 原 | KLH conjugated synthetic peptide derived from Gpig MBP:69-85/167 |
| 亞 型 | IgG |
| 純化方法 | affinity purified by Protein A |
| 儲 存 液 | 0.01M TBS(pH7.4) with 1% BSA, 0.03% Proclin300 and 50% Glycerol. |
| 保存條件 | Shipped at 4℃. Store at -20 °C for one year. Avoid repeated freeze/thaw cycles. |
| PubMed | PubMed |
| 產品介紹 | The classic group of Myelin basic protein (MBP) isoforms (isoforms 4 to 14) are with PLP the most abundant protein components of the myelin membrane in the CNS. They have a role in both its formation and stabilization. The smaller isoforms might have an important role in remyelination of denuded axons in multiple sclerosis. The non classic group of MBP isoforms (isoforms 1 to 3/Golli MBPs) may preferentially have a role in the early developing brain long before myelination, maybe as components of transcriptional complexes, and may also be involved in signaling pathways in T cells and neural cells. Differential splicing events combined to optional posttranslational modifications give a wide spectrum of isomers, each of them having maybe a specialized function. Function: The classic group of MBP isoforms (isoform 4-isoform 14) are with PLP the most abundant protein components of the myelin membrane in the CNS. They have a role in both its formation and stabilization. The smaller isoforms might have an important role in remyelination of denuded axons in multiple sclerosis. The non-classic group of MBP isoforms (isoform 1-isoform 3/Golli-MBPs) may preferentially have a role in the early developing brain long before myelination, maybe as components of transcriptional complexes, and may also be involved in signaling pathways in T-cells and neural cells. Differential splicing events combined with optional post-translational modifications give a wide spectrum of isomers, with each of them potentially having a specialized function. Induces T-cell proliferation. Subunit: Homodimer. Isoform 3 exists as a homodimer. Subcellular Location: Myelin membrane; Peripheral membrane protein; Cytoplasmic side. Note=Cytoplasmic side of myelin. Tissue Specificity: MBP isoforms are found in both the central and the peripheral nervous system, whereas Golli-MBP isoforms are expressed in fetal thymus, spleen and spinal cord, as well as in cell lines derived from the immune system. Post-translational modifications: Several charge isomers of MBP; C1 (the most cationic, least modified, and most abundant form), C2, C3, C4, C5, C6, C7, C8-A and C8-B (the least cationic form); are produced as a result of optional PTM, such as phosphorylation, deamidation of glutamine or asparagine, arginine citrullination and methylation. C8-A and C8-B contain each two mass isoforms termed C8-A(H), C8-A(L), C8-B(H) and C8-B(L), (H) standing for higher and (L) for lower molecular weight. C3, C4 and C5 are phosphorylated. The ratio of methylated arginine residues decreases during aging, making the protein more cationic. The N-terminal alanine is acetylated (isoform 3, isoform 4, isoform 5 and isoform 6). Arg-241 was found to be 6% monomethylated and 60% symmetrically dimethylated. Phosphorylated by TAOK2, VRK2, MAPK11, MAPK12, MAPK14 and MINK1. Similarity: Belongs to the myelin basic protein family. SWISS: N/A Gene ID: 100731253 Database links: Gene ID: 100731253 Guinea pig Entrez Gene: 4155 Human Entrez Gene: 17196 Mouse Omim: 159430 Human SwissProt: P02686 Human SwissProt: P04370 Mouse SwissProt: P25274 Rabbit Unigene: 551713 Human Unigene: 63285 Rat Important Note: This product as supplied is intended for research use only, not for use in human, therapeutic or diagnostic applications. 神經生物學相關蛋白(Neurobiology) 少突膠質細胞標志物 主要用于脊髓脫髓鞘病-脊髓多發硬化癥的研究。 MBP髓鞘堿性蛋白和髓鞘相伴糖蛋白是多發性硬化的自身免疫攻擊的靶。 Myelin basic protein (MPB) :Oligodendrocyte Protein produced by mature oligodendrocytes; located in the myelin sheath surrounding neuronal structures 髓磷脂Myelin/oligodendrocyte specific protein (MOSP)是由中樞神經系統中少突膠質細胞和外周神經系統中雪旺氏細胞產生特殊蛋白質。是形成髓鞘的主要成分,對于引導神經沖動的傳遞起著致關重要的作用。 多年來,關于髓鞘的形成機理和與其相關的一些先天性疾病的發病機制一直是眾多科學家關注的重點。如:多重硬化癥和腦白質營養不良等,都與神經系統的去髓鞘化相關。 |






