

貨號
產品規格
售價
備注
BN41407R-100ul
100ul
¥2360.00
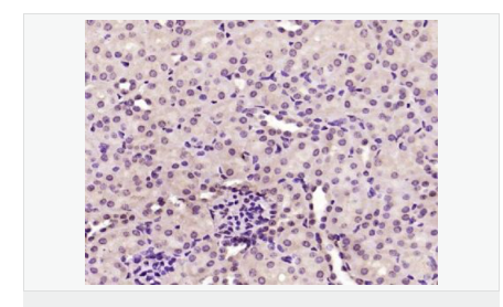
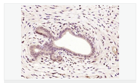
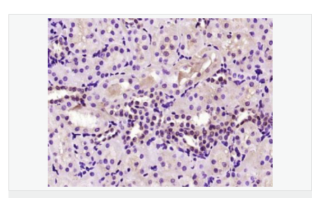
交叉反應:Human,Mouse,Rat(predicted:Dog,Pig,Cow,Horse,Sheep) 推薦應用:WB,IHC-P,ELISA
BN41407R-200ul
200ul
¥3490.00
交叉反應:Human,Mouse,Rat(predicted:Dog,Pig,Cow,Horse,Sheep) 推薦應用:WB,IHC-P,ELISA
產品描述
| 英文名稱 | C1orf19 |
| 中文名稱 | 1號染色體開放閱讀框19抗體 |
| 別 名 | Chromosome 1 open reading frame 19; Chromosome 1 open reading frame 19, isoform CRA_c; HsSen15; sen15; SEN15 homolog; SEN15_HUMAN; tRNA intron endonuclease Sen15; tRNA splicing endonuclease 15 homolog (S. cerevisiae); tRNA splicing endonuclease subunit Sen15; tRNA-intron endonuclease SEN15; tRNA-splicing endonuclease subunit SEN15; Tsen15. |
| 研究領域 | 細胞生物 免疫學 細胞分化 表觀遺傳學 |
| 抗體來源 | Rabbit |
| 克隆類型 | Polyclonal |
| 交叉反應 | Human, Mouse, Rat, (predicted: Dog, Pig, Cow, Horse, Sheep, ) |
| 產品應用 | WB=1:500-2000 ELISA=1:5000-10000 IHC-P=1:100-500 (石蠟切片需做抗原修復) not yet tested in other applications. optimal dilutions/concentrations should be determined by the end user. |
| 分 子 量 | 19kDa |
| 細胞定位 | 細胞核 |
| 性 狀 | Liquid |
| 濃 度 | 1mg/ml |
| 免 疫 原 | KLH conjugated synthetic peptide derived from human C1orf19/SEN15:51-150/171 |
| 亞 型 | IgG |
| 純化方法 | affinity purified by Protein A |
| 儲 存 液 | 0.01M TBS(pH7.4) with 1% BSA, 0.03% Proclin300 and 50% Glycerol. |
| 保存條件 | Shipped at 4℃. Store at -20 °C for one year. Avoid repeated freeze/thaw cycles. |
| PubMed | PubMed |
| 產品介紹 | SEN15, also known as TSEN15 (tRNA-splicing endonuclease subunit Sen15) or C1orf19, is a nuclear protein that plays a role in tRNA splicing. Widely expressed with highest expression in testis and uterus, SEN15 is a non-catalytic subunit of the multi-protein tRNA-splicing endonuclease complex. The endonuclease complex is responsible for identifying and cleaving pre-tRNA at both 5’ and 3’ splice sites, thereby releasing introns and free tRNA molecules with 2',3' cyclic phosphates and 5'-OH termini. In addition to its role in pre-tRNA splicing, the endonuclease complex participates in mRNA processing and, via its association with pre-mRNA processing factors, is thought to link pre-tRNA and pre-mRNA splicing events. As a subunit of the complex, SEN15 participates in protein expression and, ultimately, cell growth and division. Function: Non-catalytic subunit of the tRNA-splicing endonuclease complex, a complex responsible for identification and cleavage of the splice sites in pre-tRNA. It cleaves pre-tRNA at the 5' and 3' splice sites to release the intron. The products are an intron and two tRNA half-molecules bearing 2',3' cyclic phosphate and 5'-OH termini. There are no conserved sequences at the splice sites, but the intron is invariably located at the same site in the gene, placing the splice sites an invariant distance from the constant structural features of the tRNA body. The tRNA splicing endonuclease is also involved in mRNA processing via its association with pre-mRNA 3' end processing factors, establishing a link between pre-tRNA splicing and pre-mRNA 3' end formation, suggesting that the endonuclease subunits function in multiple RNA-processing events. Subunit: Homodimer. tRNA splicing endonuclease is a heterotetramer composed of SEN2, SEN15, SEN34/LENG5 and SEN54. tRNA splicing endonuclease complex also contains proteins of the Pre-mRNA 3' end processing machinery such as CLP1, CPSF1, CPSF4 and CSTF2. Subcellular Location: Nucleus (Probable). Nucleus, nucleolus (Probable). Note=May be transiently localized in the nucleolus (Probable). Tissue Specificity: Widely expressed. Highly expressed in testis and uterus. Similarity: Belongs to the SEN15 family. SWISS: Q9H425 Gene ID: 84886 Database links: Entrez Gene: 84886 Human SwissProt: Q9H425 Human Unigene: 520494 Human Important Note: This product as supplied is intended for research use only, not for use in human, therapeutic or diagnostic applications. |



