

貨號
產品規格
售價
備注
BN41388R-100ul
100ul
¥2360.00
交叉反應:Human,Mouse(predicted:Rat,Dog,Pig,Cow,Rabbit,Sheep) 推薦應用:WB,IHC-P,IHC-F,IF,ELISA
BN41388R-200ul
200ul
¥3490.00
交叉反應:Human,Mouse(predicted:Rat,Dog,Pig,Cow,Rabbit,Sheep) 推薦應用:WB,IHC-P,IHC-F,IF,ELISA
產品描述
| 英文名稱 | Hexokinase II |
| 中文名稱 | 己糖激酶2抗體 |
| 別 名 | Hexokinase 2; Hexokinase 2 muscle; Hexokinase type II; Hexokinase-2; HK 2; HK II; HK2; HKII; HxK 2; HxK2; HXK2_HUMAN; Muscle form hexokinase. |
| 研究領域 | 腫瘤 心血管 染色質和核信號 信號轉導 轉錄調節因子 新陳代謝 線粒體 |
| 抗體來源 | Rabbit |
| 克隆類型 | Polyclonal |
| 交叉反應 | Human, Mouse, (predicted: Rat, Dog, Pig, Cow, Rabbit, Sheep, ) |
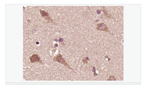
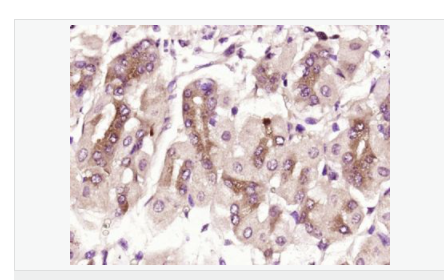
| 產品應用 | WB=1:500-2000 ELISA=1:5000-10000 IHC-P=1:100-500 IHC-F=1:100-500 IF=1:50-200 (石蠟切片需做抗原修復) not yet tested in other applications. optimal dilutions/concentrations should be determined by the end user. |
| 分 子 量 | 102kDa |
| 細胞定位 | 細胞漿 細胞膜 線粒體 |
| 性 狀 | Liquid |
| 濃 度 | 1mg/ml |
| 免 疫 原 | KLH conjugated synthetic peptide derived from human Hexokinase II/HxK2:101-200/917 |
| 亞 型 | IgG |
| 純化方法 | affinity purified by Protein A |
| 儲 存 液 | 0.01M TBS(pH7.4) with 1% BSA, 0.03% Proclin300 and 50% Glycerol. |
| 保存條件 | Shipped at 4℃. Store at -20 °C for one year. Avoid repeated freeze/thaw cycles. |
| PubMed | PubMed |
| 產品介紹 | The hexokinases utilize Mg-ATP as a phosphoryl donor to catalyze the first step of intracellular glucose metabolism, the conversion of glucose to glucose-6-phosphate. Four hexokinase isoenzymes have been identified, including hexokinase I (HXK I), hexokinase II (HXK II), hexokinase III (HXK III) and hexokinase IV (HXK IV, also designated glucokinase or GCK). Hexokinases I-III each contain an N-terminal cluster of hydrophobic amino acids. Glucokinase lacks the N-terminal hydrophobic cluster. The hydrophobic cluster is thought to be necessary for membrane binding. This is substantiated by the finding that glucokinase has lower affinity for glucose than do the other hexokinases. HXK I has been shown to be expressed in brain, kidney and heart tissues as well as in hepatoma cell lines. HXK II is involved in the uptake and utilization of glucose by adipose and skeletal tissues. Of the hexokinases, HXK III has the highest affinity for glucose. Glucokinase is expressed in pancreatic beta cells where it functions as a glucose sensor, determining the “set point” for insulin secretion. Subunit: Monomer (By similarity). Subcellular Location: Mitochondrion outer membrane. Its hydrophobic N-terminal sequence may be involved in membrane binding. Tissue Specificity: Predominant hexokinase isozyme expressed in insulin-responsive tissues such as skeletal muscle. Similarity: Belongs to the hexokinase family. SWISS: P52789 Gene ID: 3099 Database links: Entrez Gene: 3099 Human Omim: 601125 Human SwissProt: P52789 Human Unigene: 406266 Human Unigene: 591588 Human Important Note: This product as supplied is intended for research use only, not for use in human, therapeutic or diagnostic applications. |


