

貨號
產品規格
售價
備注
BN41372R-100ul
100ul
¥2360.00
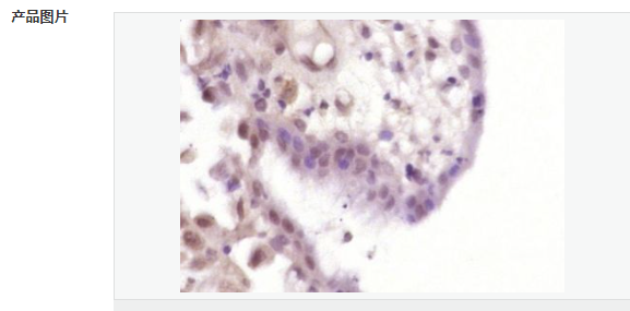
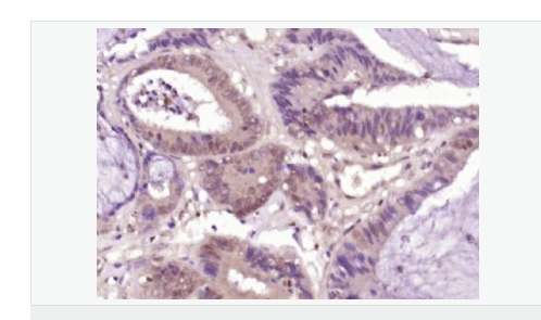
交叉反應:Human(predicted:Mouse,Rat,Chicken,Pig,Cow,Horse) 推薦應用:IHC-P,IHC-F,IF,ELISA
BN41372R-200ul
200ul
¥3490.00
交叉反應:Human(predicted:Mouse,Rat,Chicken,Pig,Cow,Horse) 推薦應用:IHC-P,IHC-F,IF,ELISA
產品描述
| 英文名稱 | CDX2+3 |
| 中文名稱 | 尾側型同源轉錄因子2/3抗體 |
| 別 名 | Caudal type homeo box 2; Caudal type homeo box transcription factor 2; Caudal type homeobox 2; Caudal type homeobox protein 2; caudal type homeobox transcription factor 2; Caudal-type homeobox protein 2; CDX 2; CDX 3; CDX-3; Cdx2; CDX2_HUMAN; CDX3; CDX2+3; Homeobox protein CDX 2; Homeobox protein CDX-2. |
| 研究領域 | 腫瘤 細胞生物 發育生物學 信號轉導 干細胞 轉錄調節因子 表觀遺傳學 |
| 抗體來源 | Rabbit |
| 克隆類型 | Polyclonal |
| 交叉反應 | Human, (predicted: Mouse, Rat, Chicken, Pig, Cow, Horse, ) |
| 產品應用 | ELISA=1:5000-10000 IHC-P=1:100-500 IHC-F=1:100-500 IF=1:50-200 (石蠟切片需做抗原修復) not yet tested in other applications. optimal dilutions/concentrations should be determined by the end user. |
| 分 子 量 | 34kDa |
| 細胞定位 | 細胞核 |
| 性 狀 | Liquid |
| 濃 度 | 1mg/ml |
| 免 疫 原 | KLH conjugated synthetic peptide derived from human CDX2/3:151-260/313 |
| 亞 型 | IgG |
| 純化方法 | affinity purified by Protein A |
| 儲 存 液 | 0.01M TBS(pH7.4) with 1% BSA, 0.03% Proclin300 and 50% Glycerol. |
| 保存條件 | Shipped at 4℃. Store at -20 °C for one year. Avoid repeated freeze/thaw cycles. |
| PubMed | PubMed |
| 產品介紹 | This gene is a member of the caudal-related homeobox transcription factor gene family. The encoded protein is a major regulator of intestine-specific genes involved in cell growth an differentiation. This protein also plays a role in early embryonic development of the intestinal tract. Aberrant expression of this gene is associated with intestinal inflammation and tumorigenesis. [provided by RefSeq, Jan 2012]. Function: Involved in the transcriptional regulation of multiple genes expressed in the intestinal epithelium. Important in broad range of functions from early differentiation to maintenance of the intestinal epithelial lining of both the small and large intestine. Subcellular Location: Nucleus. Post-translational modifications: Phosphorylation of Ser-60 mediates the transactivation capacity. Similarity: Belongs to the Caudal homeobox family. Contains 1 homeobox DNA-binding domain. SWISS: Q99626 Gene ID: 1045 Database links: Entrez Gene: 1045 Human Entrez Gene: 12591 Mouse Omim: 600297 Human SwissProt: Q99626 Human SwissProt: P43241 Mouse Unigene: 174249 Human Unigene: 20358 Mouse Important Note: This product as supplied is intended for research use only, not for use in human, therapeutic or diagnostic applications. |

