

貨號
產品規格
售價
備注
BN41323R-100ul
100ul
¥2360.00
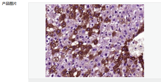
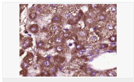
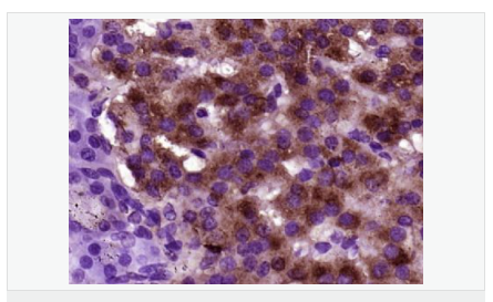
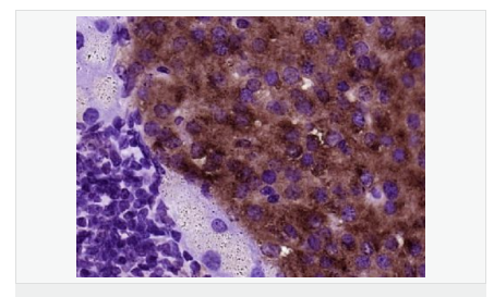
交叉反應:Human,Mouse,Rat(predicted:Dog,Sheep) 推薦應用:WB,IHC-P,IHC-F,IF,ELISA
BN41323R-200ul
200ul
¥3490.00
交叉反應:Human,Mouse,Rat(predicted:Dog,Sheep) 推薦應用:WB,IHC-P,IHC-F,IF,ELISA
產品描述
| 英文名稱 | BTBD17 |
| 中文名稱 | BTB/POZ結構域蛋白17抗體 |
| 別 名 | BTB/POZ domain-containing protein 17; btbd17; BTBDH_HUMAN; Galectin-3-binding protein-like. |
| 研究領域 | 腫瘤 細胞生物 免疫學 |
| 抗體來源 | Rabbit |
| 克隆類型 | Polyclonal |
| 交叉反應 | Human, Mouse, Rat, (predicted: Dog, Sheep, ) |
| 產品應用 | WB=1:500-2000 ELISA=1:5000-10000 IHC-P=1:100-500 IHC-F=1:100-500 IF=1:50-200 (石蠟切片需做抗原修復) not yet tested in other applications. optimal dilutions/concentrations should be determined by the end user. |
| 分 子 量 | 49kDa |
| 細胞定位 | 分泌型蛋白 |
| 性 狀 | Liquid |
| 濃 度 | 1mg/ml |
| 免 疫 原 | KLH conjugated synthetic peptide derived from human BTBD17:101-200/478 |
| 亞 型 | IgG |
| 純化方法 | affinity purified by Protein A |
| 儲 存 液 | 0.01M TBS(pH7.4) with 1% BSA, 0.03% Proclin300 and 50% Glycerol. |
| 保存條件 | Shipped at 4℃. Store at -20 °C for one year. Avoid repeated freeze/thaw cycles. |
| PubMed | PubMed |
| 產品介紹 | The BTB (broad-complex, Tramtrack and Bric a brac) domain, also known as the POZ (Poxvirus and zinc finger) domain, is an N-terminal homodimerization domain that contains multiple copies of kelch repeats and/or C2H2-type zinc fingers. Proteins that contain BTB domains are thought to be involved in transcriptional regulation via control of chromatin structure and function. BTBD17 (BTB/POZ domain-containing protein 17), also known as BTBD17A, galectin-3-binding protein-like or LGALS3BPL, is a 478 amino acid protein that contains one BTB (POZ) domain and a BACK (BTB/Kelch associated) domain. The gene encoding BTBD17 maps to human chromosome 17, which comprises over 2.5% of the human genome and encodes over 1,200 genes. Two key tumor suppressor genes are associated with chromosome 17, namely, p53 and BRCA1. Malfunction or loss of p53 expression is associated with malignant cell growth and Li-Fraumeni syndrome. Subcellular Location: Secreted (Potential). Similarity: Contains 1 BACK (BTB/Kelch associated) domain. Contains 1 BTB (POZ) domain. SWISS: A6NE02 Gene ID: 388419 Database links: Entrez Gene: 388419 Human Entrez Gene: 72014 Mouse SwissProt: A6NE02 Human SwissProt: Q9DB72 Mouse Unigene: 211870 Human Important Note: This product as supplied is intended for research use only, not for use in human, therapeutic or diagnostic applications. |



