

貨號
產品規格
售價
備注
BN41319R-100ul
100ul
¥2360.00
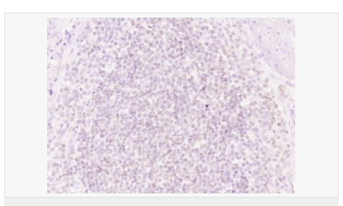
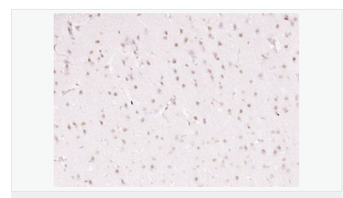
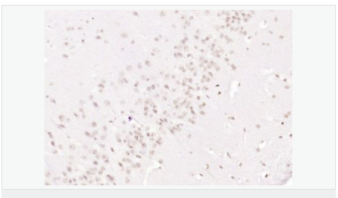
交叉反應:Human,Mouse,Rat(predicted:Dog,Pig,Cow,Horse,Sheep) 推薦應用:WB,IHC-P,IHC-F,IF,ELISA
BN41319R-200ul
200ul
¥3490.00
交叉反應:Human,Mouse,Rat(predicted:Dog,Pig,Cow,Horse,Sheep) 推薦應用:WB,IHC-P,IHC-F,IF,ELISA
產品描述
| 英文名稱 | LRRC41 |
| 中文名稱 | LRRC41蛋白抗體 |
| 別 名 | elongin BC interacting leucine rich repeat protein; Leucine rich repeat containing 41; Leucine rich repeat containing protein 41; MUF1; PP7759; LRC41_HUMAN. |
| 研究領域 | 細胞生物 免疫學 |
| 抗體來源 | Rabbit |
| 克隆類型 | Polyclonal |
| 交叉反應 | Human, Mouse, Rat, (predicted: Dog, Pig, Cow, Horse, Sheep, ) |
| 產品應用 | WB=1:500-2000 ELISA=1:5000-10000 IHC-P=1:100-500 IHC-F=1:100-500 IF=1:50-200 (石蠟切片需做抗原修復) not yet tested in other applications. optimal dilutions/concentrations should be determined by the end user. |
| 分 子 量 | 89kDa |
| 細胞定位 | 細胞核 細胞漿 |
| 性 狀 | Liquid |
| 濃 度 | 1mg/ml |
| 免 疫 原 | KLH conjugated synthetic peptide derived from human LRRC41:331-430/812 |
| 亞 型 | IgG |
| 純化方法 | affinity purified by Protein A |
| 儲 存 液 | 0.01M TBS(pH7.4) with 1% BSA, 0.03% Proclin300 and 50% Glycerol. |
| 保存條件 | Shipped at 4℃. Store at -20 °C for one year. Avoid repeated freeze/thaw cycles. |
| PubMed | PubMed |
| 產品介紹 | Chromosome 1 is the largest human chromosome spanning about 260 million base pairs and making up 8% of the human genome. There are about 3,000 genes on chromosome 1, and considering the great number of genes there are also a large number of diseases associated with chromosome 1. Notably, the rare aging disease Hutchinson-Gilford progeria is associated with the LMNA gene which encodes lamin A. When defective, the LMNA gene product can build up in the nucleus and cause characteristic nuclear blebs. The mechanism of rapidly enhanced aging is unclear and is a topic of continuing exploration. The MUTYH gene is located on chromosome 1 and is partially responsible for familial adenomatous polyposis. Stickler syndrome, Parkinsons, Gaucher disease and Usher syndrome are also associated with chromosome 1. A breakpoint has been identified in 1q which disrupts the DISC1 gene and is linked to schizophrenia. Aberrations in chromosome 1 are found in a variety of cancers including head and neck cancer, malignant melanoma and multiple myeloma. Function: Probable substrate recognition component of an ECS (Elongin BC-CUL2/5-SOCS-box protein) E3 ubiquitin ligase complex which mediates the ubiquitination and subsequent proteasomal degradation of target proteins. Subunit: Part of an E3 ubiquitin-protein ligase complex with Elongin BC (TCEB1 and TCEB2), RBX1 and CUL5. Component of a probable ECS(LRRC41) complex which contains CUL5, RNF7/RBX2, Elongin BC and LRRC41. Interacts with CUL5, RNF7, TCEB1 and TCEB2. Post-translational modifications: Phosphorylated upon DNA damage, probably by ATM or ATR. Similarity: Contains 7 LRR (leucine-rich) repeats. SWISS: Q15345 Gene ID: 10489 Database links: Entrez Gene: 10489 Human Entrez Gene: 230654 Mouse SwissProt: Q15345 Human SwissProt: Q8K1C9 Mouse Important Note: This product as supplied is intended for research use only, not for use in human, therapeutic or diagnostic applications. |




