

貨號
產品規格
售價
備注
BN41286R-100ul
100ul
¥2470.00
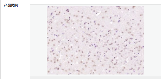
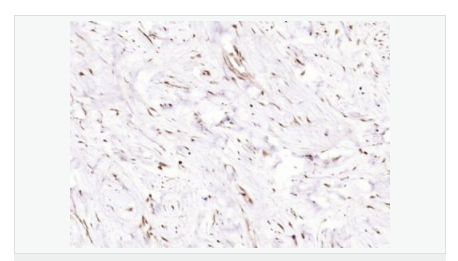
交叉反應:Human,Mouse(predicted:Rat,Pig,Cow) 推薦應用:IHC-P,IHC-F,IF
產品描述
| 英文名稱 | phospho-CK II beta (Ser209) |
| 中文名稱 | 磷酸化絲氨酸/蘇氨酸蛋白激酶II β(casein kinase IIβ)抗體 |
| 別 名 | Casein Kinase 2 beta (phospho S209); Casein Kinase 2 beta (p-S209); p-CSK2B(Ser209); phospho-CSK2B(Ser209); Casein kinase 2 beta polypeptide; casein kinase IIβ; Casein kinase II subunit beta; CK II beta; CK2B; CK2N; CSK2B; CSK2B_HUMAN; CSNK 2B; CSNK2B; G5A; MGC138222; MGC138224; Phosvitin; Protein G5a. |
| 產品類型 | 磷酸化抗體 |
| 研究領域 | 腫瘤 細胞生物 信號轉導 干細胞 細胞周期蛋白 轉錄調節因子 激酶和磷酸酶 |
| 抗體來源 | Rabbit |
| 克隆類型 | Polyclonal |
| 交叉反應 | Human, Mouse, (predicted: Rat, Pig, Cow, ) |
| 產品應用 | IHC-P=1:100-500 IHC-F=1:100-500 IF=1:100-500 (石蠟切片需做抗原修復) not yet tested in other applications. optimal dilutions/concentrations should be determined by the end user. |
| 分 子 量 | 24kDa |
| 細胞定位 | 細胞核 細胞漿 細胞膜 細胞外基質 分泌型蛋白 |
| 性 狀 | Liquid |
| 濃 度 | 1mg/ml |
| 免 疫 原 | KLH conjugated synthesised phosphopeptide derived from human CK II beta around the phosphorylation site of Ser209:FK(p-S)PV |
| 亞 型 | IgG |
| 純化方法 | affinity purified by Protein A |
| 儲 存 液 | 0.01M TBS(pH7.4) with 1% BSA, 0.03% Proclin300 and 50% Glycerol. |
| 保存條件 | Shipped at 4℃. Store at -20 °C for one year. Avoid repeated freeze/thaw cycles. |
| PubMed | PubMed |
| 產品介紹 | This gene encodes the beta subunit of casein kinase II, a ubiquitous protein kinase which regulates metabolic pathways, signal transduction, transcription, translation, and replication. The enzyme is composed of three subunits, alpha, alpha prime and beta, which form a tetrameric holoenzyme. The alpha and alpha prime subunits are catalytic, while the beta subunit serves regulatory functions. The enzyme localizes to the endoplasmic reticulum and the Golgi apparatus. [provided by RefSeq, Jul 2008]. Function: Participates in Wnt signaling. Plays a complex role in regulating the basal catalytic activity of the alpha subunit. Subunit: Tetramer composed of an alpha subunit, an alpha' subunit and two beta subunits. The beta subunit dimerization is mediated by zinc ions. Interacts with TCTEX1D3. Interacts with CD163. Also component of a CK2-SPT16-SSRP1 complex composed of SSRP1, SUPT16H, CSNK2A1, CSNK2A2 and CSNK2B, the complex associating following UV irradiation. Interacts with MUSK; mediates phosphorylation of MUSK by CK2. Post-translational modifications: Phosphorylated by alpha subunit. Similarity: Belongs to the casein kinase 2 subunit beta family. SWISS: P67871 Gene ID: 1460 Database links: Entrez Gene: 1460 Human Entrez Gene: 13001 Mouse Omim: 115441 Human SwissProt: P67870 Human SwissProt: P67871 Mouse Unigene: 73527 Human Unigene: 378901 Mouse Unigene: 137692 Rat Important Note: This product as supplied is intended for research use only, not for use in human, therapeutic or diagnostic applications. |

