

貨號
產品規格
售價
備注
BN41258R-100ul
100ul
¥2360.00
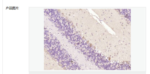
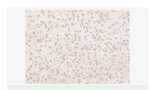
交叉反應:Mouse(predicted:Human,Rat,Dog,Pig,Cow,Horse) 推薦應用:IHC-P,IHC-F,IF,ELISA
BN41258R-200ul
200ul
¥3490.00
交叉反應:Mouse(predicted:Human,Rat,Dog,Pig,Cow,Horse) 推薦應用:IHC-P,IHC-F,IF,ELISA
產品描述
| 英文名稱 | Ankyrin erythroid |
| 中文名稱 | 紅細胞蛋白Ank1抗體 |
| 別 名 | ANK; ANK-1; Ank1; ANK1_HUMAN; Ankyrin 1; Ankyrin 1, erythrocytic; Ankyrin R; Ankyrin-1; Ankyrin-R; Erythrocyte ankyrin; SPH1; SPH2. |
| 研究領域 | 心血管 細胞生物 免疫學 信號轉導 細胞粘附分子 細胞外基質 |
| 抗體來源 | Rabbit |
| 克隆類型 | Polyclonal |
| 交叉反應 | Mouse, (predicted: Human, Rat, Dog, Pig, Cow, Horse, ) |
| 產品應用 | ELISA=1:5000-10000 IHC-P=1:100-500 IHC-F=1:100-500 IF=1:100-500 (石蠟切片需做抗原修復) not yet tested in other applications. optimal dilutions/concentrations should be determined by the end user. |
| 分 子 量 | 206kDa |
| 細胞定位 | 細胞漿 細胞膜 |
| 性 狀 | Liquid |
| 濃 度 | 1mg/ml |
| 免 疫 原 | KLH conjugated synthetic peptide derived from human Ankyrin erythroid:501-600/1881 |
| 亞 型 | IgG |
| 純化方法 | affinity purified by Protein A |
| 儲 存 液 | 0.01M TBS(pH7.4) with 1% BSA, 0.03% Proclin300 and 50% Glycerol. |
| 保存條件 | Shipped at 4℃. Store at -20 °C for one year. Avoid repeated freeze/thaw cycles. |
| PubMed | PubMed |
| 產品介紹 | Ankyrins are a family of proteins that link the integral membrane proteins to the underlying spectrin-actin cytoskeleton and play key roles in activities such as cell motility, activation, proliferation, contact and the maintenance of specialized membrane domains. Multiple isoforms of ankyrin with different affinities for various target proteins are expressed in a tissue-specific, developmentally regulated manner. Most ankyrins are typically composed of three structural domains: an amino-terminal domain containing multiple ankyrin repeats; a central region with a highly conserved spectrin binding domain; and a carboxy-terminal regulatory domain which is the least conserved and subject to variation. Ankyrin 1, the prototype of this family, was first discovered in the erythrocytes, but since has also been found in brain and muscles. Mutations in erythrocytic ankyrin 1 have been associated in approximately half of all patients with hereditary spherocytosis. Complex patterns of alternative splicing in the regulatory domain, giving rise to different isoforms of ankyrin 1 have been described. Truncated muscle-specific isoforms of ankyrin1 resulting from usage of an alternate promoter have also been identified. [provided by RefSeq, Dec 2008]. Function: Attaches integral membrane proteins to cytoskeletal elements; binds to the erythrocyte membrane protein band 4.2, to Na-K ATPase, to the lymphocyte membrane protein GP85, and to the cytoskeletal proteins fodrin, tubulin, vimentin and desmin. Erythrocyte ankyrins also link spectrin (beta chain) to the cytoplasmic domain of the erythrocytes anion exchange protein; they retain most or all of these binding functions. Isoform Mu17 together with obscurin in skeletal muscle may provide a molecular link between the sarcoplasmic reticulum and myofibrils. Subunit: Interacts with a number of integral membrane proteins and cytoskeletal proteins. Interacts (via N-terminus) with SPTB/spectrin (beta chain). Interacts (via N-terminus ANK repeats) with SLC4A1/erythrocyte membrane protein band 3 (via cytoplasmic N-terminus). Also interacts with TTN/titin. Isoform Mu17 interacts with OBSCN isoform 3/obscurin. Subcellular Location: Isoform Er1: Cytoplasm, cytoskeleton. Isoform Mu17: Membrane. Cytoplasm, myofibril, sarcomere, M line. Isoform Mu18: Sarcoplasmic reticulum. Isoform Mu19: Sarcoplasmic reticulum. Isoform Mu20: Sarcoplasmic reticulum. Tissue Specificity: Isoform Mu17, isoform Mu18, isoform Mu19 and isoform Mu20 are expressed in skeletal muscle. Isoform Br21 is expressed in brain. Post-translational modifications: Regulated by phosphorylation. Palmitoylated. DISEASE: Defects in ANK1 are a cause of spherocytosis type 1 (SPH1) [MIM:182900]; also called hereditary spherocytosis type 1 (HS1). Spherocytosis is a hematologic disorder leading to chronic hemolytic anemia and characterized by numerous abnormally shaped erythrocytes which are generally spheroidal. Inheritance can be autosomal dominant or recessive. Similarity: Contains 23 ANK repeats. Contains 1 death domain. Contains 1 ZU5 domain. SWISS: P16157 Gene ID: 286 Database links: Entrez Gene: 286 Human Entrez Gene: 11733 Mouse Omim: 182900 Human SwissProt: P16157 Human SwissProt: Q02357 Mouse Unigene: 654438 Human
Important Note: This product as supplied is intended for research use only, not for use in human, therapeutic or diagnostic applications. |

