

貨號
產品規格
售價
備注
BN41245R-100ul
100ul
¥2360.00
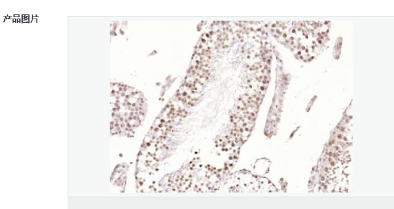
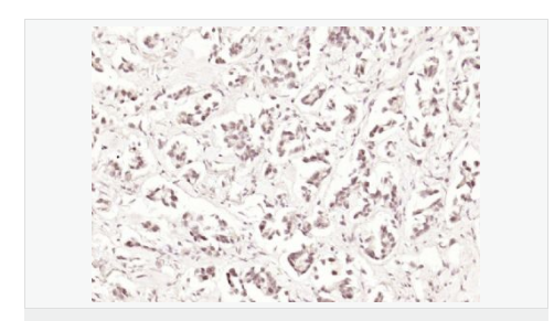
交叉反應:Human,Mouse(predicted:Rat,Chicken,Dog,Cow,Horse) 推薦應用:IHC-P,IHC-F,IF,ELISA
BN41245R-200ul
200ul
¥3490.00
交叉反應:Human,Mouse(predicted:Rat,Chicken,Dog,Cow,Horse) 推薦應用:IHC-P,IHC-F,IF,ELISA
產品描述
| 英文名稱 | RERE |
| 中文名稱 | 肌萎縮相關蛋白1抗體 |
| 別 名 | ARG; arginine glutamic acid dipeptide (RE) repeats; arginine glutamic acid dipeptide repeats; Arginine glutamic acid dipeptide repeats protein; Arginine-glutamic acid dipeptide repeats protein; ARGININE-GLUTAMIC ACID REPEATS-ENCODING GENE; ARP; ATN1L; Atr2; atrophin 1 like; Atrophin 1 like protein; Atrophin 1 related protein; atrophin 2; atrophin related protein; ATROPHIN-1-ASSOCIATED PROTEIN; Atrophin-1-like protein; Atrophin-1-related protein; atrophin-2; ATROPHIN-RELATED PROTEIN; DNB1; Rere; RERE_HUMAN. |
| 研究領域 | 細胞生物 信號轉導 細胞凋亡 轉錄調節因子 表觀遺傳學 |
| 抗體來源 | Rabbit |
| 克隆類型 | Polyclonal |
| 交叉反應 | Human, Mouse, (predicted: Rat, Chicken, Dog, Cow, Horse, ) |
| 產品應用 | ELISA=1:5000-10000 IHC-P=1:100-500 IHC-F=1:100-500 IF=1:100-500 (石蠟切片需做抗原修復) not yet tested in other applications. optimal dilutions/concentrations should be determined by the end user. |
| 分 子 量 | 172kDa |
| 細胞定位 | 細胞核 |
| 性 狀 | Liquid |
| 濃 度 | 1mg/ml |
| 免 疫 原 | KLH conjugated synthetic peptide derived from human RERE:521-620/1566 |
| 亞 型 | IgG |
| 純化方法 | affinity purified by Protein A |
| 儲 存 液 | 0.01M TBS(pH7.4) with 1% BSA, 0.03% Proclin300 and 50% Glycerol. |
| 保存條件 | Shipped at 4℃. Store at -20 °C for one year. Avoid repeated freeze/thaw cycles. |
| PubMed | PubMed |
| 產品介紹 | FunctionPlays a role as a transcriptional repressor during development. May play a role in the control of cell survival. Overexpression of RERE recruits BAX to the nucleus particularly to POD and triggers caspase-3 activation, leading to cell death. Function: Plays a role as a transcriptional repressor during development. May play a role in the control of cell survival. Overexpression of RERE recruits BAX to the nucleus particularly to POD and triggers caspase-3 activation, leading to cell death. Subunit: Interacts with HDAC1 (By similarity). Interacts with ATN1. Interaction with ATN1 is improved when the poly-Gln region of ATN1 is extended. Interacts with FAT1. Subcellular Location: Nucleus. Note=Localized in nuclear bodies of variables size. Colocalized with PML and BAX in nuclear PODs. Tissue Specificity: Widely expressed. Expressed in tumor cell lines. DISEASE: Note=A chromosomal aberration involving RERE is found in the neuroblastoma cell line NGP. Translocation t(1;15)(p36.2;q24). Similarity: Contains 1 BAH domain. Contains 1 ELM2 domain. Contains 1 GATA-type zinc finger. Contains 1 SANT domain. SWISS: Q9P2R6 Gene ID: 473 Database links: UniProtKB/Swiss-Prot: Q9P2R6.2 Important Note: This product as supplied is intended for research use only, not for use in human, therapeutic or diagnostic applications. |

