

貨號
產品規格
售價
備注
BN41211R-100ul
100ul
¥2360.00
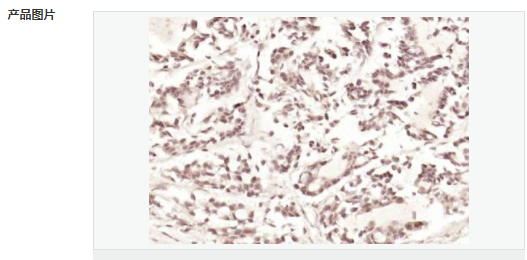
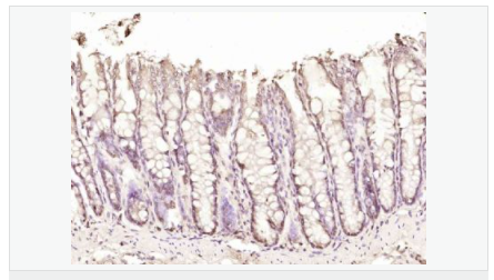
交叉反應:Human,Rat(predicted:Mouse,Dog,Pig,Cow,Horse,Sheep) 推薦應用:IHC-P,IHC-F,IF,ELISA
BN41211R-200ul
200ul
¥3490.00
交叉反應:Human,Rat(predicted:Mouse,Dog,Pig,Cow,Horse,Sheep) 推薦應用:IHC-P,IHC-F,IF,ELISA
產品描述
| 英文名稱 | DAP1 |
| 中文名稱 | 死亡相關蛋白1抗體 |
| 別 名 | DAP 1; DAP; DAP-1; DAP1_HUMAN; Death associated protein 1; Death associated protein; Death-associated protein 1. |
| 研究領域 | 細胞生物 信號轉導 細胞凋亡 |
| 抗體來源 | Rabbit |
| 克隆類型 | Polyclonal |
| 交叉反應 | Human, Rat, (predicted: Mouse, Dog, Pig, Cow, Horse, Sheep, ) |
| 產品應用 | ELISA=1:5000-10000 IHC-P=1:100-500 IHC-F=1:100-500 IF=1:100-500 (石蠟切片需做抗原修復) not yet tested in other applications. optimal dilutions/concentrations should be determined by the end user. |
| 分 子 量 | 11kDa |
| 細胞定位 | 細胞核 細胞漿 |
| 性 狀 | Liquid |
| 濃 度 | 1mg/ml |
| 免 疫 原 | KLH conjugated synthetic peptide derived from human DAP1:61-102/102 |
| 亞 型 | IgG |
| 純化方法 | affinity purified by Protein A |
| 儲 存 液 | 0.01M TBS(pH7.4) with 1% BSA, 0.03% Proclin300 and 50% Glycerol. |
| 保存條件 | Shipped at 4℃. Store at -20 °C for one year. Avoid repeated freeze/thaw cycles. |
| PubMed | PubMed |
| 產品介紹 | his gene encodes a basic, proline-rich, 15-kD protein. The protein acts as a positive mediator of programmed cell death that is induced by interferon-gamma. Function: Negative regulator of autophagy. Involved in mediating interferon-gamma-induced cell death. Post-translational modifications: Phosphorylated. Phosphorylation by MTOR inhibits the suppressive activity of DAP toward autophagy. SWISS: P51397 Gene ID: 1611 Database links: Entrez Gene: 1611 Human Entrez Gene: 223453 Mouse Omim: 600954 Human SwissProt: P51397 Human SwissProt: Q91XC8 Mouse Unigene: 75189 Human Unigene: 222867 Mouse Unigene: 1531 Rat Important Note: This product as supplied is intended for research use only, not for use in human, therapeutic or diagnostic applications. |



