

貨號
產品規格
售價
備注
BN41140R-100ul
100ul
¥2470.00
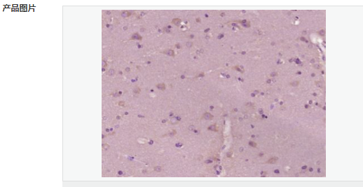
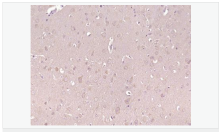
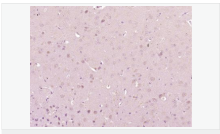
交叉反應:Human,Mouse,Rat(predicted:Dog,Rabbit) 推薦應用:IHC-P,IHC-F,IF,ELISA
產品描述
| 英文名稱 | phospho-PAK1 (Thr212) |
| 中文名稱 | 磷酸化p21激活激酶1抗體 |
| 別 名 | PAK1 (phospho T212); p-PAK1 (phospho T212); PAK1(Phospho-Thr212); PAK1(phospho T212); Alpha PAK; Alpha-PAK; MGC130000; MGC130001; p21 activated kinase 1; p21 protein (Cdc42/Rac) activated kinase 1; p21-activated kinase 1; p21/Cdc42/Rac1 activated kinase 1 (yeast Ste20 related); p21/Cdc42/Rac1 activated kinase 1; p21/Cdc42/Rac1-activated kinase 1 (STE20 homolog, yeast); p65 PAK; p65-PAK; PAK alpha; PAK-1; Pak1; PAK1_HUMAN; Paka; PAKalpha; Protein kinase MUK2; Rac/p21-activated kinase; Serine/threonine-protein kinase PAK 1; STE20 homolog (yeast); STE20 homolog yeast. |
| 產品類型 | 磷酸化抗體 |
| 研究領域 | 腫瘤 免疫學 信號轉導 轉錄調節因子 激酶和磷酸酶 |
| 抗體來源 | Rabbit |
| 克隆類型 | Polyclonal |
| 交叉反應 | Human, Mouse, Rat, (predicted: Dog, Rabbit, ) |
| 產品應用 | ELISA=1:5000-10000 IHC-P=1:100-500 IHC-F=1:100-500 IF=1:100-500 (石蠟切片需做抗原修復) not yet tested in other applications. optimal dilutions/concentrations should be determined by the end user. |
| 分 子 量 | 60kDa |
| 細胞定位 | 細胞漿 細胞膜 |
| 性 狀 | Liquid |
| 濃 度 | 1mg/ml |
| 免 疫 原 | KLH conjugated Synthesised phosphopeptide derived from human PAK1 around the phosphorylation site of Thr212:PV(p-T)PT |
| 亞 型 | IgG |
| 純化方法 | affinity purified by Protein A |
| 儲 存 液 | 0.01M TBS(pH7.4) with 1% BSA, 0.03% Proclin300 and 50% Glycerol. |
| 保存條件 | Shipped at 4℃. Store at -20 °C for one year. Avoid repeated freeze/thaw cycles. |
| PubMed | PubMed |
| 產品介紹 | The p21 activated kinases (PAK) are critical effectors that link Rho GTPases to cytoskeleton reorganization and nuclear signaling. The PAK proteins are a family of serine/threonine kinases that serve as targets for the small GTP binding proteins, CDC42 and RAC1, and have been implicated in a wide range of biological activities. The protein encoded by this gene is activated by proteolytic cleavage during caspase-mediated apoptosis, and may play a role in regulating the apoptotic events in the dying cell. Function: The activated kinase acts on a variety of targets. Likely to be the GTPase effector that links the Rho-related GTPases to the JNK MAP kinase pathway. Activated by CDC42 and RAC1. Involved in dissolution of stress fibers and reorganization of focal complexes. Involved in regulation of microtubule biogenesis through phosphorylation of TBCB. DVL1 and PAK1 form a ternary complex with MUSK which is important for MUSK-dependent regulation of AChR clustering during the formation of the neuromuscular junction (NMJ). Activity is inhibited in cells undergoing apoptosis, potentially due to binding of CDC2L1 and CDC2L2. Phosphorylates MYL9/MLC2. Phosphorylates RAF1 at 'Ser-338' and 'Ser-339' resulting in: activation of RAF1, stimulation of RAF1 translocation to mitochondria, phosphorylation of BAD by RAF1, and RAF1 binding to BCL2. Subunit: Homodimer in its autoinhibited state. Active as monomer. Interacts tightly with GTP-bound but not GDP-bound CDC42/P21 and RAC1. Binds to the caspase-cleaved p110 isoform of CDC2L1 and CDC2L2, p110C, but not the full-length proteins. Component of cytoplasmic complexes, which also contain PXN, ARHGEF6 and GIT1. Interacts with ARHGEF7. Also interacts with CRIPAK. Interacts with NISCH. Interacts with DVL1; mediates the formation of a DVL1, MUSK and PAK1 ternary complex involved in AChR clustering. Probably found in a ternary complex composed of DSCAM, PAK1 and RAC1. Interacts with DSCAM (via cytoplasmic domain); the interaction is direct and enhanced in presence of RAC1. Interacts with SCRIB. Interacts with PDPK1. Interacts (via kinase domain) with RAF1. Interaction with NCK1 and NCK2. Subcellular Location: Cytoplasm. Cell junction, focal adhesion. Note=Recruited to focal adhesions upon activation. Post-translational modifications: Autophosphorylated when activated by CDC42/p21 and RAC1. Phosphorylation at Thr-423 by PDPK1 results in its activation. Similarity: Belongs to the protein kinase superfamily. STE Ser/Thr protein kinase family. STE20 subfamily. Contains 1 CRIB domain. Contains 1 protein kinase domain. SWISS: Q13153 Gene ID: 5058 Database links: Entrez Gene: 5058 Human Entrez Gene: 18479 Mouse Omim: 602590 Human SwissProt: Q13153 Human SwissProt: O88643 Mouse Unigene: 435714 Human Unigene: 260227 Mouse Unigene: 9149 Rat Important Note: This product as supplied is intended for research use only, not for use in human, therapeutic or diagnostic applications. |


