

貨號
產品規格
售價
備注
BN41123R-100ul
100ul
¥2470.00
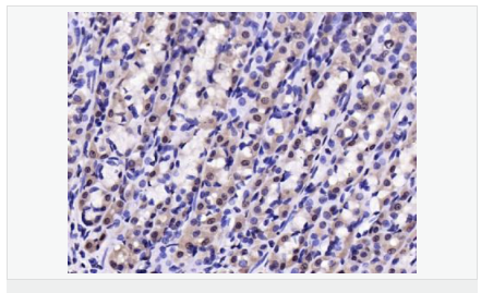
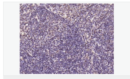
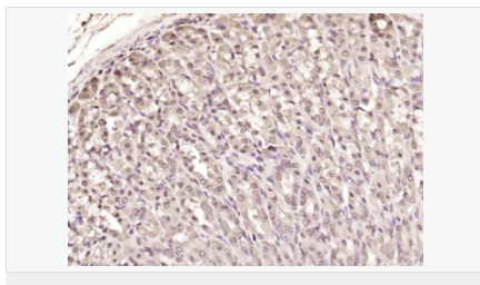
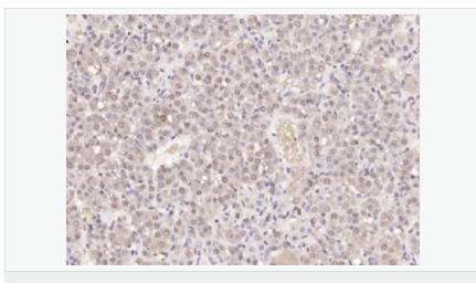
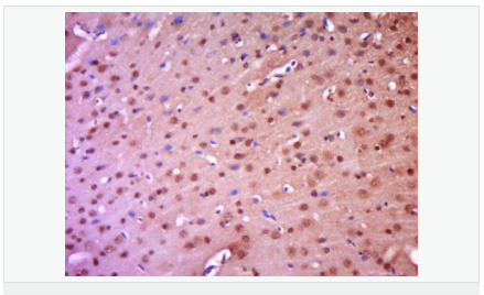
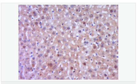
交叉反應:Human,Mouse,Rat(predicted:Pig,Cow,Rabbit,Sheep) 推薦應用:WB,IHC-P,IHC-F,IF,Flow-Cyt,ELISA
產品描述
| 英文名稱 | phospho-IKB alpha (Tyr305) |
| 中文名稱 | 磷酸化IKB alpha抗體 |
| 別 名 | IKB alpha (phospho Y305); p-IKB alpha (phospho Y305); NFKBIA(phospho Y305); Inhibitor of KB alpha; I kappa B alpha; I(Kappa)B(alpha); IkappaBalpha; IKBA; IKBalpha; IkB-alpha; MAD 3; MAD3; Major histocompatibility complex enhancer binding protein MAD3; NF kappa B inhibitor alpha; NFKBI; NFKBIA; Nuclear factor of kappa light chain gene enhancer in B cells; Nuclear factor of kappa light polypeptide gene enhancer in B cells inhibitor alpha; IKBA_HUMAN. |
| 產品類型 | 磷酸化抗體 |
| 研究領域 | 腫瘤 免疫學 信號轉導 轉錄調節因子 激酶和磷酸酶 |
| 抗體來源 | Rabbit |
| 克隆類型 | Polyclonal |
| 交叉反應 | Human, Mouse, Rat, (predicted: Pig, Cow, Rabbit, Sheep, ) |
| 產品應用 | WB=1:500-2000 ELISA=1:5000-10000 IHC-P=1:100-500 IHC-F=1:100-500 Flow-Cyt=1μg/Test ICC=1:100 IF=1:100-500 (石蠟切片需做抗原修復) not yet tested in other applications. optimal dilutions/concentrations should be determined by the end user. |
| 分 子 量 | 35kDa |
| 細胞定位 | 細胞核 細胞漿 |
| 性 狀 | Liquid |
| 濃 度 | 1mg/ml |
| 免 疫 原 | KLH conjugated Synthesised phosphopeptide derived from human IKB alpha around the phosphorylation site of Tyr305:LP(p-Y)DD |
| 亞 型 | IgG |
| 純化方法 | affinity purified by Protein A |
| 儲 存 液 | 0.01M TBS(pH7.4) with 1% BSA, 0.03% Proclin300 and 50% Glycerol. |
| 保存條件 | Shipped at 4℃. Store at -20 °C for one year. Avoid repeated freeze/thaw cycles. |
| PubMed | PubMed |
| 產品介紹 | This gene encodes a member of the NF-kappa-B inhibitor family, which contain multiple ankrin repeat domains. The encoded protein interacts with REL dimers to inhibit NF-kappa-B/REL complexes which are involved in inflammatory responses. The encoded protein moves between the cytoplasm and the nucleus via a nuclear localization signal and CRM1-mediated nuclear export. Mutations in this gene have been found in ectodermal dysplasia anhidrotic with T-cell immunodeficiency autosomal dominant disease. [provided by RefSeq, Aug 2011]. Function: Inhibits the activity of dimeric NF-kappa-B/REL complexes by trapping REL dimers in the cytoplasm through masking of their nuclear localization signals. On cellular stimulation by immune and proinflammatory responses, becomes phosphorylated promoting ubiquitination and degradation, enabling the dimeric RELA to translocate to the nucleus and activate transcription. Subunit: Interacts with RELA; the interaction requires the nuclear import signal. Interacts with NKIRAS1 and NKIRAS2. Part of a 70-90 kDa complex at least consisting of CHUK, IKBKB, NFKBIA, RELA, IKBKAP and MAP3K14. Interacts with HBV protein X. Interacts with RWDD3; the interaction enhances sumoylation. Interacts (when phosphorylated at the 2 serine residues in the destruction motif D-S-G-X(2,3,4)-S) with BTRC. Associates with the SCF(BTRC) complex, composed of SKP1, CUL1 and BTRC; the association is mediated via interaction with BTRC. Part of a SCF(BTRC)-like complex lacking CUL1, which is associated with RELA; RELA interacts directly with NFKBIA. Interacts with PRMT2. Interacts with PRKACA in platelets; this interaction is disrupted by thrombin and collagen. Interacts with HIF1AN. Subcellular Location: Cytoplasm. Nucleus. Note=Shuttles between the nucleus and the cytoplasm by a nuclear localization signal (NLS) and a CRM1-dependent nuclear export. Post-translational modifications: Phosphorylated; disables inhibition of NF-kappa-B DNA-binding activity. Phosphorylation at positions 32 and 36 is prerequisite to recognition by UBE2D3 leading to polyubiquitination and subsequent degradation. Sumoylated; sumoylation requires the presence of the nuclear import signal. Monoubiquitinated at Lys-21 and/or Lys-22 by UBE2D3. Ubiquitin chain elongation is then performed by CDC34 in cooperation with the SCF(FBXW11) E3 ligase complex, building ubiquitin chains from the UBE2D3-primed NFKBIA-linked ubiquitin. The resulting polyubiquitination leads to protein degradation. Also ubiquitinated by SCF(BTRC) following stimulus-dependent phosphorylation at Ser-32 and Ser-36. Deubiquitinated by porcine reproductive and respiratory syndrome virus Nsp2 protein, which thereby interferes with NFKBIA degradation and impairs subsequent NF-kappa-B activation. DISEASE: Defects in NFKBIA are the cause of ectodermal dysplasia anhidrotic with T-cell immunodeficiency autosomal dominant (ADEDAID) [MIM:612132]. Ectodermal dysplasia defines a heterogeneous group of disorders due to abnormal development of two or more ectodermal structures. ADEDAID is an ectodermal dysplasia associated with decreased production of pro-inflammatory cytokines and certain interferons, rendering patients susceptible to infection. Similarity: Belongs to the NF-kappa-B inhibitor family. Contains 5 ANK repeats. SWISS: P25963 Gene ID: 4792 Database links: Entrez Gene: 4792 Human Entrez Gene: 18035 Mouse Omim: 164008 Human SwissProt: P25963 Human SwissProt: Q9Z1E3 Mouse Unigene: 81328 Human Unigene: 170515 Mouse Unigene: 12550 Rat Important Note: This product as supplied is intended for research use only, not for use in human, therapeutic or diagnostic applications. |











