

貨號
產品規格
售價
備注
BN41069R-100ul
100ul
¥2470.00
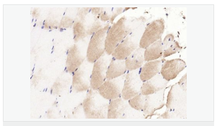
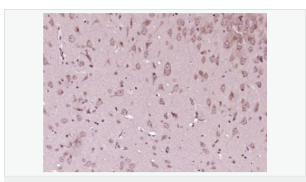
交叉反應:Human,Mouse,Rat(predicted:Dog,Pig,Cow,Horse,Rabbit,Sheep,GuineaPig) 推薦應用:WB,IHC-P,IHC-F,IF,Flow-Cyt,ELISA
產品描述
| 英文名稱 | phospho-CDKN1B (Thr198) |
| 中文名稱 | 磷酸化P27抗體/周期素依賴激酶抑制劑抗體 |
| 別 名 | p27 KIP 1 (phospho T198); p-p27 KIP 1 (phospho T198);p27Kip1(Phospho-Thr198); p-p27Kip1(Thr198); p-p27Kip1(198); CDN1B_HUMAN; AA408329; AI843786; Cdki1b; CDKN 1B; CDKN 4; CDKN1B; CDKN1B; CDKN4; CDKN4; Cyclin Dependent Kinase Inhibitor 1B; Cyclin Dependent Kinase Inhibitor 1B; Cyclin dependent kinase inhibitor p27; Cyclin dependent kinase inhibitor p27; Cyclin-dependent kinase inhibitor 1B (p27, Kip1); Cyclin-dependent kinase inhibitor 1B; Cyclin-dependent kinase inhibitor p27; Cyclin-dependent kinase inhibitor p27 Kip1; KIP 1; KIP1; MEN1B; MEN4; OTTHUMP00000195098; OTTHUMP00000195099; p27; p27 Kip1; P27-like cyclin-dependent kinase inhibitor; P27KIP1. |
| 產品類型 | 磷酸化抗體 |
| 研究領域 | 免疫學 細胞周期蛋白 |
| 抗體來源 | Rabbit |
| 克隆類型 | Polyclonal |
| 交叉反應 | Human, Mouse, Rat, (predicted: Dog, Pig, Cow, Horse, Rabbit, Sheep, Guinea Pig, ) |
| 產品應用 | WB=1:500-2000 ELISA=1:5000-10000 IHC-P=1:100-500 IHC-F=1:100-500 Flow-Cyt=1μg/Test ICC=1:100-500 IF=1:100-500 (石蠟切片需做抗原修復) not yet tested in other applications. optimal dilutions/concentrations should be determined by the end user. |
| 分 子 量 | 22kDa |
| 細胞定位 | 細胞核 細胞漿 |
| 性 狀 | Liquid |
| 濃 度 | 1mg/ml |
| 免 疫 原 | KLH conjugated synthesised phosphopeptide derived from human CDKN1B/P27kip1 around the phosphorylation site of Thr198:RQ(p-T) |
| 亞 型 | IgG |
| 純化方法 | affinity purified by Protein A |
| 儲 存 液 | 0.01M TBS(pH7.4) with 1% BSA, 0.03% Proclin300 and 50% Glycerol. |
| 保存條件 | Shipped at 4℃. Store at -20 °C for one year. Avoid repeated freeze/thaw cycles. |
| PubMed | PubMed |
| 產品介紹 | This gene encodes a cyclin-dependent kinase inhibitor, which shares a limited similarity with CDK inhibitor CDKN1A/p21. The encoded protein binds to and prevents the activation of cyclin E-CDK2 or cyclin D-CDK4 complexes, and thus controls the cell cycle progression at G1. The degradation of this protein, which is triggered by its CDK dependent phosphorylation and subsequent ubiquitination by SCF complexes, is required for the cellular transition from quiescence to the proliferative state. [provided by RefSeq, Jul 2008] Function: Important regulator of cell cycle progression. Involved in G1 arrest. Potent inhibitor of cyclin E- and cyclin A-CDK2 complexes. Forms a complex with cyclin type D-CDK4 complexes and is involved in the assembly, stability, and modulation of CCND1-CDK4 complex activation. Acts either as an inhibitor or an activator of cyclin type D-CDK4 complexes depending on its phosphorylation state and/or stoichometry. Subunit: Forms a ternary compex with CCNE1/CDK2/CDKN1B. Subcellular Location: Nucleus. Cytoplasm. Endosome. Note=Nuclear and cytoplasmic in quiescent cells. AKT-or RSK-mediated phosphorylation on Thr-198, binds 14-3-3, translocates to the cytoplasm and promotes cell cycle progression. Mitogen-activated UHMK1 phosphorylation on Ser-10 also results in translocation to the cytoplasm and cell cycle progression. Phosphorylation on Ser-10 facilitates nuclear export. Translocates to the nucleus on phosphorylation of Tyr-88 and Tyr-89. Colocalizes at the endosome with SNX6; this leads to lysosomal degradation. Tissue Specificity: Expressed in all tissues tested. Highest levels in skeletal muscle, lowest in liver and kidney. Post-translational modifications: Phosphorylated; phosphorylation occurs on serine, threonine and tyrosine residues. Phosphorylation on Ser-10 is the major site of phosphorylation in resting cells, takes place at the G(0)-G(1) phase and leads to protein stability. Phosphorylation on other sites is greatly enhanced by mitogens, growth factors, cMYC and in certain cancer cell lines. The phosphorylated form found in the cytoplasm is inactivate. Phosphorylation on Thr-198 is required for interaction with 14-3-3 proteins. Phosphorylation on Thr-187, by CDK2 leads to protein ubiquitination and proteasomal degradation. Tyrosine phosphorylation promotes this process. Phosphorylation by PKB/AKT1 can be suppressed by LY294002, an inhibitor of the catalytic subunit of PI3K. Phosphorylation on Tyr-88 and Tyr-89 has no effect on binding CDK2, but is required for binding CDK4. Dephosphorylated on tyrosine residues by G-CSF. Ubiquitinated; in the cytoplasm by the KPC complex (composed of RNF123/KPC1 and UBAC1/KPC2) and, in the nucleus, by SCF(SKP2). The latter requires prior phosphorylation on Thr-187. Ubiquitinated; by a TRIM21-containing SCF(SKP2)-like complex; leads to its degradation. DISEASE: Defects in CDKN1B are the cause of multiple endocrine neoplasia type 4 (MEN4) [MIM:610755]. Multiple endocrine neoplasia (MEN) syndromes are inherited cancer syndromes of the thyroid. MEN4 is a MEN-like syndrome with a phenotypic overlap of both MEN1 and MEN2. Similarity: Belongs to the CDI family. SWISS: P46527 Gene ID: 1027 Database links: Entrez Gene: 1027 Human Entrez Gene: 12576 Mouse Omim: 600778 Human SwissProt: P46527 Human SwissProt: P46414 Mouse Unigene: 238990 Human Unigene: 2958 Mouse Important Note: This product as supplied is intended for research use only, not for use in human, therapeutic or diagnostic applications. P27蛋白是一種新發現的周期素依賴激酶抑制劑,屬于細胞周期的負性調控因子。P27基因及其產物的異常表達可能與某些腫瘤的發生、發展有著密切的關系。P27蛋白對細胞周期的調控及在腫瘤中發揮著很重要的作用。 |



