

貨號
產品規格
售價
備注
BN40936R-100ul
100ul
¥2470.00
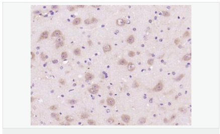
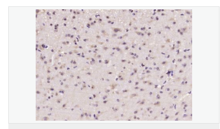
交叉反應:Human,Mouse,Rat(predicted:Dog,Pig,Horse,Rabbit,Sheep) 推薦應用:WB,IHC-P,IHC-F,ICC,IF,Flow-Cyt,ELISA
產品描述
| 英文名稱 | Phospho-mTOR (Ser2481) |
| 中文名稱 | 磷酸化雷帕霉素靶蛋白抗體 |
| 別 名 | mTOR (phospho S2481); p-mTOR (phospho S2481); dJ576K7.1 (FK506 binding protein 12 rapamycin associated protein 1); FK506 binding protein 12 rapamycin associated protein 1; FK506 binding protein 12 rapamycin associated protein 2; FK506 binding protein 12 rapamycin complex associated protein 1; FK506 binding protein12-rapamycin associated protein 1; FK506 binding protein12-rapamycin associated protein 2; FK506-binding protein 12-rapamycin complex-associated protein 1; FKBP rapamycin associated protein; FKBP12 rapamycin complex associated protein; FKBP12-rapamycin complex-associated protein; FLJ44809; FRAP; FRAP1; FRAP2; Mammalian target of rapamycin; Mechanistic target of rapamycin; mTOR; MTOR_HUMAN; OTTHUMP00000001983; RAFT1; Rapamycin and FKBP12 target 1; Rapamycin associated protein FRAP2; Rapamycin target protein 1; Rapamycin target protein; RAPT1; Serine/threonine-protein kinase mTOR. |
| 產品類型 | 磷酸化抗體 |
| 研究領域 | 腫瘤 心血管 細胞生物 免疫學 染色質和核信號 細胞周期蛋白 轉錄調節因子 表觀遺傳學 |
| 抗體來源 | Rabbit |
| 克隆類型 | Polyclonal |
| 交叉反應 | Human, Mouse, Rat, (predicted: Dog, Pig, Horse, Rabbit, Sheep, ) |
| 產品應用 | WB=1:500-2000 ELISA=1:5000-10000 IHC-P=1:100-500 IHC-F=1:100-500 Flow-Cyt=1μg /test IF=1:100-500 (石蠟切片需做抗原修復) not yet tested in other applications. optimal dilutions/concentrations should be determined by the end user. |
| 分 子 量 | 289kDa |
| 細胞定位 | 細胞漿 細胞膜 |
| 性 狀 | Liquid |
| 濃 度 | 1mg/ml |
| 免 疫 原 | KLH conjugated Synthesised phosphopeptide derived from human mTOR around the phosphorylation site of Ser2448:IH(p-S)FI |
| 亞 型 | IgG |
| 純化方法 | affinity purified by Protein A |
| 儲 存 液 | 0.01M TBS(pH7.4) with 1% BSA, 0.03% Proclin300 and 50% Glycerol. |
| 保存條件 | Shipped at 4℃. Store at -20 °C for one year. Avoid repeated freeze/thaw cycles. |
| PubMed | PubMed |
| 產品介紹 | mTOR is one of a family of proteins involved in cell cycle progression, DNA recombination, and DNA damage detection. In rat, it is a 289-kDa protein (symbolized RAFT1) with significant homology to the Saccharomyces cerevisiae protein TOR1 and has been shown to associate with the immunophilin FKBP12 in a rapamycin dependent fashion. The FKBP12-rapamycin complex is known to inhibit progression through the G1 cell cycle stage by interfering with mitogenic signaling pathways involved in G1 progression in several cell types, as well as in yeast. The binding of FRAP to FKBP12-rapamycin correlated with the ability of these ligands to inhibit cell cycle progression. Function: Serine/threonine protein kinase which is a central regulator of cellular metabolism, growth and survival in response to hormones, growth factors, nutrients, energy and stress signals. Functions as part of 2 structurally and functionally distinct signaling complexes mTORC1 and mTORC2 (mTOR complex 1 and 2). Activated mTORC1 up-regulates protein synthesis by phosphorylating key regulators of mRNA translation and ribosome synthesis. This includes phosphorylation of EIF4EBP1 and release of its inhibition toward the elongation initiation factor 4E (eiF4E). Moreover, phosphorylates and activates RPS6KB1 and RPS6KB2 that promote protein synthesis by modulating the activity of their downstream targets including ribosomal protein S6, eukaryotic translation initiation factor EIF4B and the inhibitor of translation initiation PDCD4. Regulates ribosome synthesis by activating RNA polymerase III-dependent transcription through phosphorylation and inhibition of MAF1 a RNA polymerase III-repressor. In parallel to protein synthesis, also regulates lipid synthesis through SREBF1/SREBP1 and LPIN1. To maintain energy homeostasis mTORC1 may also regulate mitochondrial biogenesis through regulation of PPARGC1A. mTORC1 also negatively regulates autophagy through phosphorylation of ULK1. Under nutrient sufficiency, phosphorylates ULK1 at 'Ser-758', disrupting the interaction with AMPK and preventing activation of ULK1. Also prevents autophagy through phosphorylation of the autophagy inhibitor DAP. mTORC1 exerts a feedback control on upstream growth factor signaling that includes phosphorylation and activation of GRB10 a INSR-dependent signaling suppressor. Among other potential targets mTORC1 may phosphorylate CLIP1 and regulate microtubules. As part of the mTORC2 complex MTOR may regulate other cellular processes including survival and organization of the cytoskeleton. Plays a critical role in the phosphorylation at 'Ser-473' of AKT1, a pro-survival effector of phosphoinositide 3-kinase, facilitating its activation by PDK1. mTORC2 may regulate the actin cytoskeleton, through phosphorylation of PRKCA, PXN and activation of the Rho-type guanine nucleotide exchange factors RHOA and RAC1A or RAC1B. mTORC2 also regulates the phosphorylation of SGK1 at 'Ser-422'. Subunit: Part of the mammalian target of rapamycin complex 1 (mTORC1) which contains MTOR, MLST8, RPTOR, AKT1S1/PRAS40 and DEPTOR. Part of the mammalian target of rapamycin complex 2 (mTORC2) which contains MTOR, MLST8, PRR5, RICTOR, MAPKAP1 and DEPTOR. Interacts with PPAPDC3 and PML (By similarity). Interacts with PRR5 and RICTOR; the interaction is direct within the mTORC2 complex (By similarity). Interacts with UBQLN1 (By similarity). Interacts with TTI1 and TELO2 (By similarity). Interacts with CLIP1; phosphorylates and regulates CLIP1 (By similarity). Subcellular Location: Endoplasmic reticulum membrane; Peripheral membrane protein; Cytoplasmic side. Golgi apparatus membrane; Peripheral membrane protein; Cytoplasmic side. Mitochondrion outer membrane; Peripheral membrane protein; Cytoplasmic side. Lysosome. Cytoplasm (By similarity). Nucleus, PML body (By similarity). Note=Shuttles between cytoplasm and nucleus. Accumulates in the nucleus in response to hypoxia (By similarity). Targeting to lysosomes depends on amino acid availability and RRAGA and RRAGB. Tissue Specificity: Expressed in numerous tissues, with highest levels in testis. Post-translational modifications: Phosphorylated. Autophosphorylates when part of mTORC1 or mTORC2. Phosphorylation at Ser-1261 promotes autophosphorylation. Similarity: Belongs to the PI3/PI4-kinase family. Contains 1 FAT domain. Contains 1 FATC domain. Contains 7 HEAT repeats. Contains 1 PI3K/PI4K domain. SWISS: P42345 Gene ID: 2475 Database links: Entrez Gene: 2475 Human Entrez Gene: 56717 Mouse Omim: 601231 Human SwissProt: P42345 Human SwissProt: Q9JLN9 Mouse Unigene: 338207 Human Unigene: 21158 Mouse Unigene: 11008 Rat Important Note: This product as supplied is intended for research use only, not for use in human, therapeutic or diagnostic applications. mTOR蛋白是一種絲氨酸/蘇氨酸蛋白激酶(Ser/Thr),是調節細胞生長和增殖的重要信號轉導分子,在細胞的生長、分化、增殖、遷移和存活上扮演了重要的角色。由于mTOR信號通路在細胞周期進程中發揮了重要作用,細胞周期進程調節異常與許多疾病尤其是癌癥的發生、發展有關,mTOR信號通路的失調可引起多種腫瘤的發生。 |





