

貨號
產品規格
售價
備注
BN40777R-100ul
100ul
¥2360.00
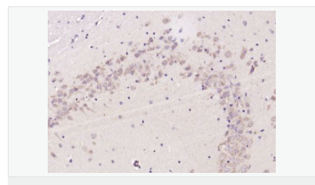
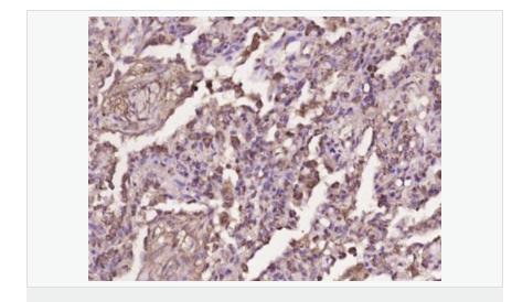
交叉反應:Human,Mouse,Rat(predicted:Dog,Pig,Horse,Rabbit) 推薦應用:WB,IHC-P,IHC-F,ICC,IF,Flow-Cyt
BN40777R-200ul
200ul
¥3490.00
交叉反應:Human,Mouse,Rat(predicted:Dog,Pig,Horse,Rabbit) 推薦應用:WB,IHC-P,IHC-F,ICC,IF,Flow-Cyt
產品描述
| 英文名稱 | MCL1 |
| 中文名稱 | 髓樣細胞白血病-1抗體 |
| 別 名 | myeloid cell leukemia 1; myeloid cell leukemia sequence 1; MCL-1; MCL1L; MCL 1; mcl1/EAT; MGC104264; MGC1839; TM; MCL1S; EAT) Bcl 2 related protein EAT/mcl1; BCL2 related; BCL2L3; EAT; Induced myeloid leukemia cell differentiation protein Mcl 1; myeloid cell leukemia sequence 1; Myeloid cell leukemia sequence 1 BCL2 related; Myeloid cell leukemia sequence 1 isoform 1; OTTHUMP00000032794; OTTHUMP00000032795; TM; bcl2-L-3; BCL2L3; EAT; Mcl-1; MCL1-ES; mcl1/EAT. |
| 研究領域 | 腫瘤 免疫學 信號轉導 細胞凋亡 轉錄調節因子 線粒體 |
| 抗體來源 | Rabbit |
| 克隆類型 | Polyclonal |
| 交叉反應 | Human, Mouse, Rat, (predicted: Dog, Pig, Horse, Rabbit, ) |
| 產品應用 | WB=1:500-2000 IHC-P=1:100-500 IHC-F=1:100-500 Flow-Cyt=1ug/Test ICC=1:100-500 IF=1:100-500 (石蠟切片需做抗原修復) not yet tested in other applications. optimal dilutions/concentrations should be determined by the end user. |
| 分 子 量 | 39kDa |
| 細胞定位 | 細胞核 細胞漿 細胞膜 線粒體 |
| 性 狀 | Liquid |
| 濃 度 | 1mg/ml |
| 免 疫 原 | KLH conjugated synthetic peptide derived from human MCL1:101-200/350 |
| 亞 型 | IgG |
| 純化方法 | affinity purified by Protein A |
| 儲 存 液 | 0.01M TBS(pH7.4) with 1% BSA, 0.03% Proclin300 and 50% Glycerol. |
| 保存條件 | Shipped at 4℃. Store at -20 °C for one year. Avoid repeated freeze/thaw cycles. |
| PubMed | PubMed |
| 產品介紹 | Mcl1 is an anti-apoptotic member of Bcl2 family originally isolated from the ML1 human myeloid leukemia cell line during phorbol ester-induced differentiation along the monocyte/macrophage pathway. Mcl1 localizes to the mitochondria, interacts with and antagonizes pro-apoptotic Bcl2 family members, and inhibits apoptosis by a number of cytotoxic stimuli. It is involved in programing of differentiation and concomitant maintenance of viability but not of proliferation. Isoform 1 inhibits apoptosis while isoform 2 promotes it. Expression increases early during phorbol-ester induced differentiation along the monocyte/macrophage pathway in myeloid leukemia cell lines ML1. Function: Involved in the regulation of apoptosis versus cell survival, and in the maintenance of viability but not of proliferation. Mediates its effects by interactions with a number of other regulators of apoptosis. Isoform 1 inhibits apoptosis. Isoform 2 promotes apoptosis. Subunit: Interacts with BAD, BOK, BIK and BFM (By similarity). Interacts with PMAIP1. Isoform 1 interacts with BAX, BAK1, TPT1 and BCL2L11. Heterodimer of isoform 1 and isoform 2. Homodimers of isoform 1 or isoform 2 are not detected. Isoform 2 does not interact with pro-apoptotic BCL2-related proteins. Subcellular Location: Membrane; Single-pass membrane protein (Potential). Cytoplasm. Mitochondrion. Nucleus, nucleoplasm. Note=Cytoplasmic, associated with mitochondria. Post-translational modifications: Cleaved by CASP3 during apoptosis. In intact cells cleavage occurs preferentially after Asp-127, yielding a pro-apoptotic 28 kDa C-terminal fragment. Rapidly degraded in the absence of phosphorylation on Thr-163 in the PEST region. Phosphorylated on Thr-163. Treatment with taxol or okadaic acid induces phosphorylation on additional sites. Similarity: Belongs to the Bcl-2 family. SWISS: Q07820 Gene ID: 4170 Database links: Entrez Gene: 4170 Human Entrez Gene: 17210 Mouse Omim: 159552 Human SwissProt: Q07820 Human SwissProt: P97287 Mouse Unigene: 632486 Human Important Note: This product as supplied is intended for research use only, not for use in human, therapeutic or diagnostic applications. |








