

貨號
產品規格
售價
備注
BN40704R-100ul
100ul
¥2360.00
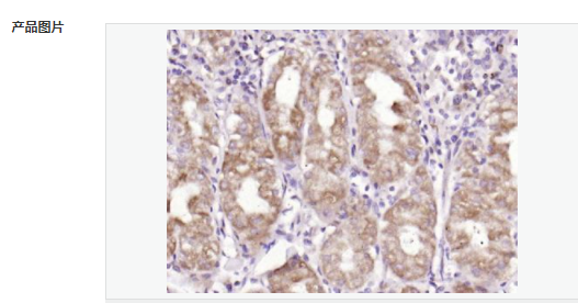
交叉反應:Human 推薦應用:IHC-P
BN40704R-200ul
200ul
¥3490.00
交叉反應:Human 推薦應用:IHC-P
產品描述
| 英文名稱 | ADAM28 |
| 中文名稱 | 去整合素樣金屬蛋白酶28抗體 |
| 別 名 | A disintegrin and metalloproteinase domain 28; ADAM28; ADAM 28; ADAM-28; MDC L; Metalloproteinase like disintegrin like and cysteine rich protein L; eMDCII; MDC-Ls; TECADAM; ADA28_HUMAN. |
| 研究領域 | 腫瘤 細胞生物 免疫學 信號轉導 |
| 抗體來源 | Rabbit |
| 克隆類型 | Polyclonal |
| 交叉反應 | Human, |
| 產品應用 | IHC-P=1:100-500 (石蠟切片需做抗原修復) not yet tested in other applications. optimal dilutions/concentrations should be determined by the end user. |
| 分 子 量 | 87kDa |
| 細胞定位 | 細胞膜 分泌型蛋白 |
| 性 狀 | Liquid |
| 濃 度 | 1mg/ml |
| 免 疫 原 | KLH conjugated synthetic peptide derived from human ADAM28:521-620/775 <Extracellular> |
| 亞 型 | IgG |
| 純化方法 | affinity purified by Protein A |
| 儲 存 液 | 0.01M TBS(pH7.4) with 1% BSA, 0.03% Proclin300 and 50% Glycerol. |
| 保存條件 | Shipped at 4℃. Store at -20 °C for one year. Avoid repeated freeze/thaw cycles. |
| PubMed | PubMed |
| 產品介紹 | ADAM28 was first described in lymphocytes, also in Thymic Endothelial Cells (TECADAM), as well as in the epididymus. Later works describe two forms of ADAM28: ADAM28-S and ADAM28-L (short and long forms). The short form is a soluble, alternatively spliced form lacking the transmembrane and cytoplasmic domains. Message levels of the short form were found to be much lower than the long form in the tissues studied, but these may be tissue-specific differences. In humans, ADAM28 is reported in lymphocytes by some authors and to be absent from mature lymphocytes by others. The thyroid, lung, trachea, esophagus, and stomach have been shown to express human ADAM28 message. Knockout mice lacking B cells and T cells express ADAM28 message in the thyroid, lung, trachea, esophagus, and stomach. A member of the metalloproteinase family containing disintegrin-like domains (ADAMs) the functions of ADAM28 are still poorly understood. ADAM28 contains the canonical HExxHxxxxxH zinc metalloproteinase motif, and has been shown to be proteolytically active. Other ADAMs family members (ADAM10, ADAM17) have been more thoroughly studied and are known to play key roles in inflammation, growth factor maturation and release, and a wide range of other functions. The full length ADAM28 (ADAM28 Long) sequence codes for a 775 amino acid protein with a predicted mass is 87.2 kDa, and a pI of 6.50. The soluble ADAM28 (ADAM-28 Short) is a 540 amino acid sequence, with a predicted mass of 61.3 kDa, and a pI of 6.58. Other forms of ADAM28 have been reported with slightly different carboxyterminal regions. ADAM28 may play a role in the adhesive and proteolytic events that occur during lymphocyte emigration or may function in ectodomain shedding of lymphocyte surface target proteins, such as FASL and CD40L. It may be involved in sperm maturation. There are 2 isoforms of ADAM28: one short secreted and one long membrane bound. Subcellular Location: Isoform 1: Cell membrane; Single-pass type I membrane protein. Isoform 2: Secreted. Tissue Specificity: Expressed predominantly in secondary lymphoid tissues, such as lymph node, spleen, small intestine, stomach, colon, appendix and trachea. The lymphocyte population is responsible for expression of this protein in these tissues. Isoform 2 is expressed preferentially in spleen. Similarity: Contains 1 disintegrin domain. Contains 1 EGF-like domain. Contains 1 peptidase M12B domain. SWISS: Q9UKQ2 Gene ID: 10863 Database links: Entrez Gene: 10863 Human Omim: 606188 Human SwissProt: Q9UKQ2 Human Important Note: This product as supplied is intended for research use only, not for use in human, therapeutic or diagnostic applications. |
