

貨號
產品規格
售價
備注
BN40651R-100ul
100ul
¥2360.00
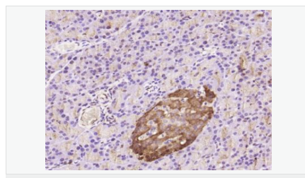
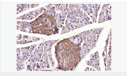
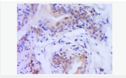
交叉反應:Human,Mouse,Rat(predicted:Pig,Cow,Rabbit,Sheep) 推薦應用:WB,IHC-P,IHC-F,ICC,IF,Flow-Cyt,ELISA
BN40651R-200ul
200ul
¥3490.00
交叉反應:Human,Mouse,Rat(predicted:Pig,Cow,Rabbit,Sheep) 推薦應用:WB,IHC-P,IHC-F,ICC,IF,Flow-Cyt,ELISA
產品描述
| 英文名稱 | Caspase-9 |
| 中文名稱 | 活化半胱胺酸蛋白酶蛋白-9抗體 |
| 別 名 | Caspase-9 subunit p35; Apaf-3; APAF 3; APAF3; Apoptosis related cysteine peptidase; Apoptotic protease activating factor 3; Apoptotic protease MCH 6; Apoptotic protease MCH6; CASP 9; CASP9; Caspase 9; Caspase 9 apoptosis related cysteine protease; Caspase 9 precursor; Caspase 9c; Caspase9; Caspase9 subunit p10; ICE LAP6; ICE like apoptotic protease 6; RNCASP9; MCH 6; MCH6; OTTHUMP00000044594; CASP9_HUMAN. |
| 研究領域 | 腫瘤 細胞生物 神經生物學 信號轉導 細胞凋亡 |
| 抗體來源 | Rabbit |
| 克隆類型 | Polyclonal |
| 交叉反應 | Human, Mouse, Rat, (predicted: Pig, Cow, Rabbit, Sheep, ) |
| 產品應用 | WB=1:500-2000 ELISA=1:5000-10000 IHC-P=1:100-500 IHC-F=1:100-500 Flow-Cyt=1ug/Test ICC=1:100 IF=1:100-500 (石蠟切片需做抗原修復) not yet tested in other applications. optimal dilutions/concentrations should be determined by the end user. |
| 分 子 量 | 35/50kDa |
| 細胞定位 | 細胞核 細胞漿 |
| 性 狀 | Liquid |
| 濃 度 | 1mg/ml |
| 免 疫 原 | KLH conjugated synthetic peptide derived from human Caspase-9:231-330/416 |
| 亞 型 | IgG |
| 純化方法 | affinity purified by Protein A |
| 儲 存 液 | 0.01M TBS(pH7.4) with 1% BSA, 0.03% Proclin300 and 50% Glycerol. |
| 保存條件 | Shipped at 4℃. Store at -20 °C for one year. Avoid repeated freeze/thaw cycles. |
| PubMed | PubMed |
| 產品介紹 | Caspase 9 (also known as ICE like apoptotic protease 6 (ICE LAP6), apoptotic protease Mch6, and apoptotic protease activating factor 3 (Apaf3)) is a member of the peptidase family C14 that contains a CARD domain. This caspase is active as a heterotetramer and has been reported to have two isoforms. ProCaspase 9 has been reported to be approximately 47 kD. This caspase is present in the cytosol and, upon activation, translocates to the mitochondria. Caspase 9 is involved in the caspase activation cascade responsible for apoptosis execution and cleaves/activates Caspase 3 and Caspase 6. Caspase 9 is inhibited by the dominant negative isoform, BclXL, cIAP1, cIAP2, XIAP, and Livin. This caspase becomes activated when recruited to Apaf1/cytochrome c complex, and following cleavage by Apaf1, granzyme B, Caspase 3, possibly Caspase 8 and Caspase 10 into large p37 and small p10 subunits. Caspase 9 intereacts with BIRC7 and has been shown to cleave PARP and vimentin. Function: Involved in the activation cascade of caspases responsible for apoptosis execution. Binding of caspase-9 to Apaf-1 leads to activation of the protease which then cleaves and activates caspase-3. Proteolytically cleaves poly(ADP-ribose) polymerase (PARP). Isoform 2 lacks activity is an dominant-negative inhibitor of caspase-9. Subunit: Heterotetramer that consists of two anti-parallel arranged heterodimers, each one formed by a 35 kDa (p35) and a 10 kDa (p10) subunit. Caspase-9 and APAF1 bind to each other via their respective NH2-terminal CED-3 homologous domains in the presence of cytochrome C and ATP. Interacts (inactive form) with EFHD2. Interacts with HAX1. Interacts with BIRC2/c-IAP1, XIAP/BIRC4, BIRC5/survivin, BIRC6/bruce and BIRC7/livin. Tissue Specificity: Ubiquitous, with highest expression in the heart, moderate expression in liver, skeletal muscle, and pancreas. Low levels in all other tissues. Within the heart, specifically expressed in myocytes. Post-translational modifications: Cleavages at Asp-315 by granzyme B and at Asp-330 by caspase-3 generate the two active subunits. Caspase-8 and -10 can also be involved in these processing events. Phosphorylated at Thr-125 by MAPK1/ERK2. Phosphorylation at Thr-125 is sufficient to block caspase-9 processing and subsequent caspase-3 activation. Similarity: Belongs to the peptidase C14A family. Contains 1 CARD domain. SWISS: P55211 Gene ID: 842 Database links: Entrez Gene: 842 Human Entrez Gene: 12371 Mouse Omim: 602234 Human SwissProt: P55211 Human SwissProt: Q4FJK5 Mouse Unigene: 329502 Human Unigene: 88829 Mouse Unigene: 32199 Rat Important Note: This product as supplied is intended for research use only, not for use in human, therapeutic or diagnostic applications. Caspase-9半胱氨酸蛋白酶家族成員之一,又稱ICE-Lap6(ICE Like apoptotease 6)參與細胞凋亡過程和細胞因子的加工過程,在許多胚胎和成人組織中都有分布。此抗體主要用于腫瘤研究。 |








