

貨號
產品規格
售價
備注
BN40643R-100ul
100ul
¥2360.00
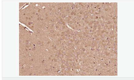
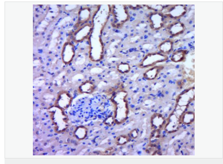
交叉反應:Human,Rat(predicted:Mouse,Horse) 推薦應用:IHC-P,IHC-F,ICC,IF,Flow-Cyt,ELISA
BN40643R-200ul
200ul
¥3490.00
交叉反應:Human,Rat(predicted:Mouse,Horse) 推薦應用:IHC-P,IHC-F,ICC,IF,Flow-Cyt,ELISA
產品描述
| 英文名稱 | IRS-2 |
| 中文名稱 | 胰島素受體底物-2抗體 |
| 別 名 | Insulin Receptor Substrate 2; IRS 2; IRS-2; IRS2; IRS2_HUMAN. |
| 研究領域 | 細胞生物 神經生物學 信號轉導 細胞凋亡 細胞膜受體 糖尿病 |
| 抗體來源 | Rabbit |
| 克隆類型 | Polyclonal |
| 交叉反應 | Human, Rat, (predicted: Mouse, Horse, ) |
| 產品應用 | ELISA=1:5000-10000 IHC-P=1:100-500 IHC-F=1:100-500 Flow-Cyt=1μg/Test ICC=1:100-500 IF=1:100-500 (石蠟切片需做抗原修復) not yet tested in other applications. optimal dilutions/concentrations should be determined by the end user. |
| 分 子 量 | 146kDa |
| 細胞定位 | 細胞漿 |
| 性 狀 | Liquid |
| 濃 度 | 1mg/ml |
| 免 疫 原 | KLH conjugated synthetic peptide derived from human IRS-2:461-560/1338 |
| 亞 型 | IgG |
| 純化方法 | affinity purified by Protein A |
| 儲 存 液 | 0.01M TBS(pH7.4) with 1% BSA, 0.03% Proclin300 and 50% Glycerol. |
| 保存條件 | Shipped at 4℃. Store at -20 °C for one year. Avoid repeated freeze/thaw cycles. |
| PubMed | PubMed |
| 產品介紹 | This gene encodes the insulin receptor substrate 2, a cytoplasmic signaling molecule that mediates effects of insulin, insulin-like growth factor 1, and other cytokines by acting as a molecular adaptor between diverse receptor tyrosine kinases and downstream effectors. The product of this gene is phosphorylated by the insulin receptor tyrosine kinase upon receptor stimulation, as well as by an interleukin 4 receptor-associated kinase in response to IL4 treatment. [provided by RefSeq, Jul 2008] Function: May mediate the control of various cellular processes by insulin. Subunit: Interacts with PHIP. Subcellular Location: Cytoplasm, cytosol. Post-translational modifications: Phosphorylated upon DNA damage, probably by ATM or ATR. Similarity: Contains 1 IRS-type PTB domain. Contains 1 PH domain. SWISS: Q9Y4H2 Gene ID: 8660 Database links: Entrez Gene: 8660 Human Entrez Gene: 384783 Mouse Omim: 600797 Human SwissProt: Q9Y4H2 Human SwissProt: P81122 Mouse Unigene: 442344 Human Unigene: 407207 Mouse Important Note: This product as supplied is intended for research use only, not for use in human, therapeutic or diagnostic applications. IRS-2是肝胰島素信號轉導核心介子,IRS-2基因的缺失或IRS-2信號網絡上一些關鍵信號分子的異常改變,都將導致肝胰島素信號轉導能力減弱,出現肝胰島素抵抗. |




