

貨號
產品規格
售價
備注
BN40601R-100ul
100ul
¥2360.00
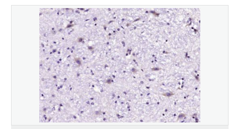
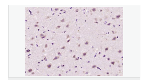
交叉反應:Mouse,Rat(predicted:Human,Dog,Pig,Cow,Horse,Rabbit,Sheep) 推薦應用:WB,IHC-P,IHC-F,ICC,IF
BN40601R-200ul
200ul
¥3490.00
交叉反應:Mouse,Rat(predicted:Human,Dog,Pig,Cow,Horse,Rabbit,Sheep) 推薦應用:WB,IHC-P,IHC-F,ICC,IF
產品描述
| 英文名稱 | GLRB |
| 中文名稱 | 甘氨酸受體β/GlyR β抗體 |
| 別 名 | Glycine receptor 58 kDa subunit; Glycine receptor beta; Glycine receptor subunit beta; Glycine receptor, beta subunit; GLRB_HUMAN. |
| 研究領域 | 細胞生物 神經生物學 信號轉導 通道蛋白 細胞膜受體 |
| 抗體來源 | Rabbit |
| 克隆類型 | Polyclonal |
| 交叉反應 | Mouse, Rat, (predicted: Human, Dog, Pig, Cow, Horse, Rabbit, Sheep, ) |
| 產品應用 | WB=1:500-2000 IHC-P=1:100-500 IHC-F=1:100-500 ICC=1:100-500 IF=1:100-500 (石蠟切片需做抗原修復) not yet tested in other applications. optimal dilutions/concentrations should be determined by the end user. |
| 分 子 量 | 54kDa |
| 細胞定位 | 細胞漿 細胞膜 |
| 性 狀 | Liquid |
| 濃 度 | 1mg/ml |
| 免 疫 原 | KLH conjugated synthetic peptide derived from human GLRB:51-150/497 <Extracellular> |
| 亞 型 | IgG |
| 純化方法 | affinity purified by Protein A |
| 儲 存 液 | Preservative: 15mM Sodium Azide, Constituents: 1% BSA, 0.01M PBS, pH 7.4 |
| 保存條件 | Shipped at 4℃. Store at -20 °C for one year. Avoid repeated freeze/thaw cycles. |
| PubMed | PubMed |
| 產品介紹 | GLRB (Glycine receptor beta) is a neurotransmitter-gated ion channel concentrated within the spinal cord and brainstem. Expression is also observed in several upper brain regions including the cortex, cerebellum, hippocampus and amygdala. Binding of glycine to GLRB increases the chloride conductance and thus produces hyperpolarization (inhibition of neuronal firing), controlling spinal reflexes and locomotor behavior. Function: The glycine receptor is a neurotransmitter-gated ion channel. Binding of glycine to its receptor increases the chloride conductance and thus produces hyperpolarization (inhibition of neuronal firing). Subunit: Pentamer composed of alpha and beta subunits. Interacts with GPHN Subcellular Location: Plasma membrane; multi-pass membrane protein. DISEASE: Defects in GLRB are the cause of hyperekplexia type 2 (HKPX2) [MIM:614619]. HKPX2 is a neurologic disorder characterized by muscular rigidity of central nervous system origin, particularly in the neonatal period, and by an exaggerated startle response to unexpected acoustic or tactile2 stimuli. Similarity: Belongs to the ligand-gated ion channel (TC 1.A.9) family. Glycine receptor (TC 1.A.9.3) subfamily. GLRB sub-subfamily. SWISS: P48167 Gene ID: 2743 Database links: Entrez Gene: 2743 Human Entrez Gene: 14658 Mouse Omim: 138492 Human SwissProt: P48167 Human SwissProt: P48168 Mouse Unigene: 32973 Human Unigene: 275639 Mouse Important Note: This product as supplied is intended for research use only, not for use in human, therapeutic or diagnostic applications. |


