

貨號
產品規格
售價
備注
BN40596R-100ul
100ul
¥2360.00
交叉反應:Human,Mouse,Rat(predicted:Pig,Horse) 推薦應用:WB,IHC-P,IHC-F,ICC,IF,ELISA
BN40596R-200ul
200ul
¥3490.00
交叉反應:Human,Mouse,Rat(predicted:Pig,Horse) 推薦應用:WB,IHC-P,IHC-F,ICC,IF,ELISA
產品描述
| 英文名稱 | StAR |
| 中文名稱 | 促黃體激素誘導蛋白抗體 |
| 別 名 | StARD1; Cholesterol trafficker; Luteinizing hormone induced protein; Mitochondrial steroid acute regulatory protein; StAR related lipid transfer (START) domain containing 1; StARD1; START domain containing protein 1; Steroidogenic Acute Regulatory Protein; Steroidogenic acute regulatory protein mitochondrial; STAR_HUMAN. |
| 研究領域 | 腫瘤 免疫學 轉錄調節因子 激酶和磷酸酶 線粒體 |
| 抗體來源 | Rabbit |
| 克隆類型 | Polyclonal |
| 交叉反應 | Human, Mouse, Rat, (predicted: Pig, Horse, ) |
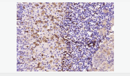
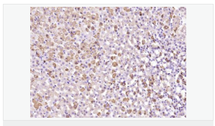
| 產品應用 | WB=1:500-2000 ELISA=1:5000-10000 IHC-P=1:100-500 IHC-F=1:100-500 ICC=1:100-500 IF=1:100-500 (石蠟切片需做抗原修復) not yet tested in other applications. optimal dilutions/concentrations should be determined by the end user. |
| 分 子 量 | 32kDa |
| 細胞定位 | 細胞漿 線粒體 |
| 性 狀 | Liquid |
| 濃 度 | 1mg/ml |
| 免 疫 原 | KLH conjugated synthetic peptide derived from human StAR:181-285/285 |
| 亞 型 | IgG |
| 純化方法 | affinity purified by Protein A |
| 儲 存 液 | 0.01M TBS(pH7.4) with 1% BSA, 0.03% Proclin300 and 50% Glycerol. |
| 保存條件 | Shipped at 4℃. Store at -20 °C for one year. Avoid repeated freeze/thaw cycles. |
| PubMed | PubMed |
| 產品介紹 | The protein encoded by this gene plays a key role in the acute regulation of steroid hormone synthesis by enhancing the conversion of cholesterol into pregnenolone. This protein permits the cleavage of cholesterol into pregnenolone by mediating the transport of cholesterol from the outer mitochondrial membrane to the inner mitochondrial membrane. Mutations in this gene are a cause of congenital lipoid adrenal hyperplasia (CLAH), also called lipoid CAH. A pseudogene of this gene is located on chromosome 13. [provided by RefSeq, Jul 2008]. Function: Plays a key role in steroid hormone synthesis by enhancing the metabolism of cholesterol into pregnenolone. Mediates the transfer of cholesterol from the outer mitochondrial membrane to the inner mitochondrial membrane where it is cleaved to pregnenolone. Subunit: May interact with TSPO. Subcellular Location: Mitochondrion. DISEASE: Defects in STAR are the cause of adrenal hyperplasia type 1 (AH1) [MIM:201710]. The most severe form of adrenal hyperplasia. It is a condition characterized by onset of profound adrenocortical insufficiency shortly after birth, hyperpigmentation reflecting increased production of pro-opiomelanocortin, elevated plasma rennin activity as a consequence of reduced aldosterone synthesis, and male pseudohermaphroditism resulting from deficient fetal testicular testosterone synthesis. Affected individuals are phenotypic females irrespective of gonadal sex, and frequently die in infancy if mineralocorticoid and glucocorticoid replacement are not instituted. Similarity: Contains 1 START domain. SWISS: P49675 Gene ID: 6770 Database links: Entrez Gene: 6770 Human Entrez Gene: 20845 Mouse Omim: 600617 Human SwissProt: P49675 Human SwissProt: P51557 Mouse Unigene: 521535 Human Unigene: 293314 Mouse Unigene: 11399 Rat Important Note: This product as supplied is intended for research use only, not for use in human, therapeutic or diagnostic applications. |



