

貨號
產品規格
售價
備注
BN40553R-100ul
100ul
¥2360.00
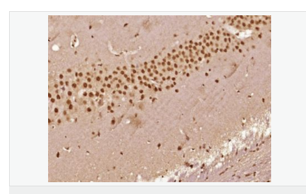
交叉反應:Human,Mouse,Rat(predicted:Dog,Pig,Cow,Horse,Rabbit,Sheep) 推薦應用:IHC-P,IHC-F,ICC,IF
BN40553R-200ul
200ul
¥3490.00
交叉反應:Human,Mouse,Rat(predicted:Dog,Pig,Cow,Horse,Rabbit,Sheep) 推薦應用:IHC-P,IHC-F,ICC,IF
產品描述
| 英文名稱 | TAF15/RBP56 |
| 中文名稱 | RNA結合蛋白56抗體 |
| 別 名 | 68 kDa TATA-binding protein-associated factor; AF15 RNA polymerase II, TATA box binding protein (TBP) associated factor, 68 kD; Npl3; RBP56; RBP56_HUMAN; RNA binding protein 56; RNA-binding protein 56; TAF; TAF(II)68; TAF15; TAF15 RNA polymerase II, TATA box binding protein (TBP)-associated factor, 68kDa; TAF15 RNA polymerase II, TATA box binding protein associated factor; TAF2N; TAFII68; TATA binding protein associated factor 2N; TATA-binding protein-associated factor 2N. |
| 研究領域 | 細胞生物 轉錄調節因子 結合蛋白 表觀遺傳學 |
| 抗體來源 | Rabbit |
| 克隆類型 | Polyclonal |
| 交叉反應 | Human, Mouse, Rat, (predicted: Dog, Pig, Cow, Horse, Rabbit, Sheep, ) |
| 產品應用 | IHC-P=1:100-500 IHC-F=1:100-500 ICC=1:100-500 IF=1:100-500 (石蠟切片需做抗原修復) not yet tested in other applications. optimal dilutions/concentrations should be determined by the end user. |
| 分 子 量 | 62kDa |
| 細胞定位 | 細胞核 細胞漿 |
| 性 狀 | Liquid |
| 濃 度 | 1mg/ml |
| 免 疫 原 | KLH conjugated synthetic peptide derived from human TAF15/RBP56:81-180/592 |
| 亞 型 | IgG |
| 純化方法 | affinity purified by Protein A |
| 儲 存 液 | 0.01M TBS(pH7.4) with 1% BSA, 0.03% Proclin300 and 50% Glycerol. |
| 保存條件 | Shipped at 4℃. Store at -20 °C for one year. Avoid repeated freeze/thaw cycles. |
| PubMed | PubMed |
| 產品介紹 | This gene encodes a member of the TET family of RNA-binding proteins. The encoded protein plays a role in RNA polymerase II gene transcription as a component of a distinct subset of multi-subunit transcription initiation factor TFIID complexes. Translocations involving this gene play a role in acute leukemia and extraskeletal myxoid chondrosarcoma, and mutations in this gene may play a role in amyotrophic lateral sclerosis. Alternatively spliced transcript variants encoding multiple isoforms have been observed for this gene. [provided by RefSeq, May 2012] Function: RNA and ssDNA-binding protein that may play specific roles during transcription initiation at distinct promoters. Can enter the preinitiation complex together with the RNA polymerase II (Pol II). Subcellular Location: Nucleus. Cytoplasm. Shuttles from the nucleus to the cytoplasm. Tissue Specificity: Ubiquitous. Observed in all fetal and adult tissues. Post-translational modifications: Dimethylated by PRMT1 at Arg-206 to asymmetric dimethylarginine. The methylation may favor nuclear localization and positive regulation of TAF15 transcriptional activity. Phosphorylated upon DNA damage, probably by ATM or ATR. DISEASE: Note=A chromosomal aberration involving TAF15/TAF2N is found in a form of extraskeletal myxoid chondrosarcomas (EMC). Translocation t(9;17)(q22;q11) with NR4A3. Similarity: Belongs to the RRM TET family. Contains 1 RanBP2-type zinc finger. Contains 1 RRM (RNA recognition motif) domain. SWISS: Q92804 Gene ID: 8148 Database links: Entrez Gene: 8148 Human Entrez Gene: 70439 Mouse Omim: 601574 Human SwissProt: Q92804 Human Unigene: 402752 Human Unigene: 181050 Mouse Unigene: 72554 Rat Important Note: This product as supplied is intended for research use only, not for use in human, therapeutic or diagnostic applications. |



