

貨號
產品規格
售價
備注
BN40453R-100ul
100ul
¥2360.00
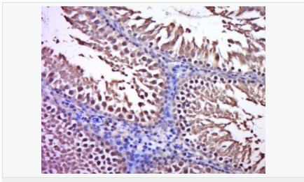
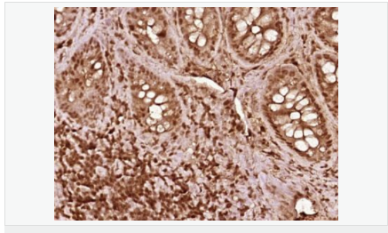
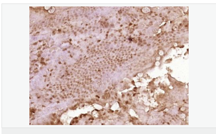
交叉反應:Mouse,Rat(predicted:Human,Dog,Sheep) 推薦應用:WB,IHC-P,IHC-F,ICC,IF,ELISA
BN40453R-200ul
200ul
¥3490.00
交叉反應:Mouse,Rat(predicted:Human,Dog,Sheep) 推薦應用:WB,IHC-P,IHC-F,ICC,IF,ELISA
產品描述
| 英文名稱 | C3orf32 |
| 中文名稱 | 3號染色體開放閱讀框32抗體 |
| 別 名 | chromosome 3 open reading frame 32; fls485; SSU-2; SSUH2; SSUH2 ssu-2 homolog (C. elegans); uncharacterized protein C3orf32 homolog; SSUH2_HUMAN. |
| 研究領域 | 腫瘤 心血管 細胞生物 免疫學 發育生物學 表觀遺傳學 |
| 抗體來源 | Rabbit |
| 克隆類型 | Polyclonal |
| 交叉反應 | Mouse, Rat, (predicted: Human, Dog, Sheep, ) |
| 產品應用 | WB=1:500-2000 ELISA=1:5000-10000 IHC-P=1:100-500 IHC-F=1:100-500 ICC=1:100-500 IF=1:100-500 (石蠟切片需做抗原修復) not yet tested in other applications. optimal dilutions/concentrations should be determined by the end user. |
| 分 子 量 | 40kDa |
| 細胞定位 | 細胞漿 |
| 性 狀 | Liquid |
| 濃 度 | 1mg/ml |
| 免 疫 原 | KLH conjugated synthetic peptide derived from human C3orf32:51-150/353 |
| 亞 型 | IgG |
| 純化方法 | affinity purified by Protein A |
| 儲 存 液 | 0.01M TBS(pH7.4) with 1% BSA, 0.03% Proclin300 and 50% Glycerol. |
| 保存條件 | Shipped at 4℃. Store at -20 °C for one year. Avoid repeated freeze/thaw cycles. |
| PubMed | PubMed |
| 產品介紹 | C3orf32 (chromosome 3 open reading frame 32), also known as fls485, is a 353 amino acid protein encoded by a gene that maps to human chromosome 3p26.1. Chromosome 3 is made up of approximately 214 million bases encoding over 1,100 genes. Notably, there is a chemokine receptor gene cluster and a variety of human cancer related loci on chromosome 3. Particular regions of the chromosome 3 short arm are deleted in many types of cancer cells. Key tumor suppressing genes on chromosome 3 encode apoptosis mediator RASSF1, cell migration regulator HYAL1 and angiogenesis suppressor SEMA3B. Marfan Syndrome, porphyria, von Hippel-Lindau syndrome, osteogenesis imperfecta and Charcot-Marie-Tooth disease are a few of the numerous genetic diseases associated with chromosome 3. Subcellular Location: Cytoplasm. Tissue Specificity: Expressed in enterocytes of small and large intestinal mucosa (at protein level). Expressed in enterocytes, chromaffine and interstitial cells. SWISS: Q9Y2M2 Gene ID: 51066 Database links: Entrez Gene: 51066 Human SwissProt: Q9Y2M2 Human Unigene: 561182 Human Unigene: 740735 Human Important Note: This product as supplied is intended for research use only, not for use in human, therapeutic or diagnostic applications. |



