

貨號
產品規格
售價
備注
BN40402R-100ul
100ul
¥2470.00
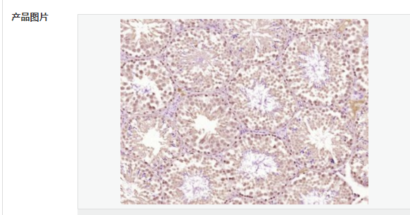
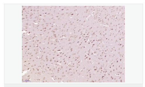
交叉反應:Mouse(predicted:Human,Rat) 推薦應用:WB,IHC-P,IHC-F,ICC,IF,ELISA
產品描述
| 英文名稱 | phospho-delta 1 Catenin (Tyr228) |
| 中文名稱 | 磷酸化δ連環蛋白抗體 |
| 別 名 | delta 1 Catenin (phospho Y228); p-delta 1 Catenin (phospho Y228); Cadherin associated Src substrate; Cadherin-associated Src substrate; CAS; Catenin (cadherin associated protein) delta 1; Catenin delta 1; Catenin delta-1; CTND1_HUMAN; CTNND 1; CTNND; CTNND1; KIAA0384; p120; P120 CAS; p120 catenin; P120 CTN; p120(cas); p120(ctn); P120CAS; P120CTN. |
| 產品類型 | 磷酸化抗體 |
| 研究領域 | 細胞生物 信號轉導 干細胞 轉錄調節因子 細胞骨架 |
| 抗體來源 | Rabbit |
| 克隆類型 | Polyclonal |
| 交叉反應 | Mouse, (predicted: Human, Rat, ) |
| 產品應用 | WB=1:500-2000 ELISA=1:5000-10000 IHC-P=1:100-500 IHC-F=1:100-500 ICC=1:100-500 IF=1:100-500 (石蠟切片需做抗原修復) not yet tested in other applications. optimal dilutions/concentrations should be determined by the end user. |
| 分 子 量 | 108kDa |
| 細胞定位 | 細胞核 細胞漿 細胞膜 |
| 性 狀 | Liquid |
| 濃 度 | 1mg/ml |
| 免 疫 原 | KLH conjugated synthesised phosphopeptide derived from human delta 1 Catenin around the phosphorylation site of Tyr228:DN(p-Y)GS |
| 亞 型 | IgG |
| 純化方法 | affinity purified by Protein A |
| 儲 存 液 | 0.01M TBS(pH7.4) with 1% BSA, 0.03% Proclin300 and 50% Glycerol. |
| 保存條件 | Shipped at 4℃. Store at -20 °C for one year. Avoid repeated freeze/thaw cycles. |
| PubMed | PubMed |
| 產品介紹 | This gene encodes a member of the Armadillo protein family, which function in adhesion between cells and signal transduction. Multiple translation initiation codons and alternative splicing result in many different isoforms being translated. Not all of the full-length natures of the described transcript variants have been determined. Read-through transcription also exists between this gene and the neighboring upstream thioredoxin-related transmembrane protein 2 (TMX2) gene. [provided by RefSeq, Dec 2010] Function: Binds to and inhibits the transcriptional repressor ZBTB33, which may lead to activation of target genes of the Wnt signaling pathway. May associate with and regulate the cell adhesion properties of both C- and E-cadherins. Implicated both in cell transformation by SRC and in ligand-induced receptor signaling through the EGF, PDGF, CSF-1 and ERBB2 receptors. Promotes GLIS2 C-terminal cleavage. Subunit: Cytoplasm. Nucleus. Cell membrane. Note=Interaction with GLIS2 promotes nuclear translocation. Detected at cell-cell contacts. NANOS1 induces its translocation from sites of cell-cell contact to the cytoplasm. Subcellular Location: Cytoplasm. Nucleus. Cell membrane. Interaction with GLIS2 promotes nuclear translocation. NANOS1 induces its translocation from sites of cell-cell contact to the cytoplasm. Tissue Specificity: Expressed in vascular endothelium. Post-translational modifications: Phosphorylated by FER and other protein-tyrosine kinases. Phosphorylated at Ser-288 by PAK7/PAK5. Dephosphorylated by PTPRJ. Similarity: Belongs to the beta-catenin family. Contains 10 ARM repeats. SWISS: O60716 Gene ID: 1500 Database links: Entrez Gene: 1500 Human Entrez Gene: 12388 Mouse Omim: 601045 Human SwissProt: O60716 Human SwissProt: P30999 Mouse Unigene: 166011 Human Unigene: 35738 Mouse Unigene: 9435 Rat Important Note: This product as supplied is intended for research use only, not for use in human, therapeutic or diagnostic applications. |

