

貨號
產品規格
售價
備注
BN40376R-100ul
100ul
¥2470.00
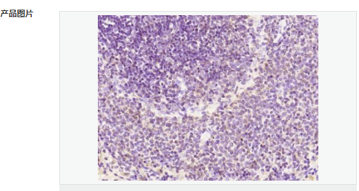
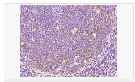
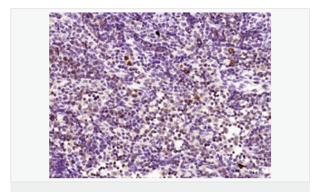
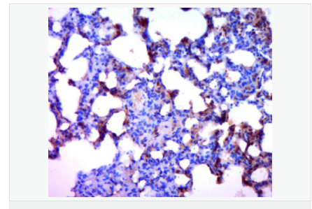
交叉反應:Human,Rat(predicted:Mouse,Horse,Rabbit) 推薦應用:IHC-P,IHC-F,ICC,IF,Flow-Cyt,ELISA
產品描述
| 英文名稱 | Phospho-Bcl2 (Ser87) |
| 中文名稱 | 磷酸化Bcl-2抗體 |
| 別 名 | Bcl2 (phospho S87); Bcl2 (phospho Ser87); p-Bcl2 (phospho S87); p-Bcl2 (Ser87); Apoptosis regulator Bcl 2; Apoptosis regulator Bcl2; AW986256; B cell CLL/lymphoma 2; B cell leukemia/lymphoma 2; B cell lymphoma 2; Bcl 2; Bcl-2; Bcl2; BCL2 protein; C430015F12Rik; D630044D05Rik; D830018M01Rik; Leukemia/lymphoma, B-cell, 2; Oncogene B-cell leukemia 2; BCL2_HUMAN; Apoptosis regulator Bcl-2. |
| 產品類型 | 磷酸化抗體 |
| 研究領域 | 腫瘤 細胞生物 信號轉導 細胞凋亡 新陳代謝 線粒體 |
| 抗體來源 | Rabbit |
| 克隆類型 | Polyclonal |
| 交叉反應 | Human, Rat, (predicted: Mouse, Horse, Rabbit, ) |
| 產品應用 | ELISA=1:5000-10000 IHC-P=1:100-500 IHC-F=1:100-500 Flow-Cyt=1μg/Test ICC=1:100 IF=1:100-500 (石蠟切片需做抗原修復) not yet tested in other applications. optimal dilutions/concentrations should be determined by the end user. |
| 分 子 量 | 26kDa |
| 細胞定位 | 細胞核 細胞漿 細胞膜 線粒體 |
| 性 狀 | Liquid |
| 濃 度 | 1mg/ml |
| 免 疫 原 | KLH conjugated synthesised phosphopeptide derived from human Bcl2 around the phosphorylation site of Ser87:AL(p-S)PV |
| 亞 型 | IgG |
| 純化方法 | affinity purified by Protein A |
| 儲 存 液 | 0.01M TBS(pH7.4) with 1% BSA, 0.03% Proclin300 and 50% Glycerol. |
| 保存條件 | Shipped at 4℃. Store at -20 °C for one year. Avoid repeated freeze/thaw cycles. |
| PubMed | PubMed |
| 產品介紹 | BCL2 is an integral outer mitochondrial membrane protein that blocks the apoptotic death of some cells such as lymphocytes. Constitutive expression of BCL2, such as in the case of translocation of BCL2 to Ig heavy chain locus, is thought to be the cause of follicular lymphoma. Two transcript variants (alpha and beta) produced by alternate splicing, differ in their C-terminal ends. BCL2 suppresses apoptosis in a variety of cell systems including factor-dependent lymphohematopoietic and neural cells. It regulates cell death by controlling the mitochondrial membrane permeability. It appears to function in a feedback loop system with caspases. BCL2 inhibits caspase activity either by preventing the release of cytochrome c from the mitochondria and/or by binding to the apoptosis-activating factor (APAF1). It can form homodimers, and heterodimers with BAX, BAD, BAK and BclX(L). Heterodimerization with BAX requires intact BH1 and BH2 domains, and is necessary for anti-apoptotic activity. Also interacts with APAF1, RAF1, TP53BP2, BBC3, BCL2L1 and BNIPL. Function: Suppresses apoptosis in a variety of cell systems including factor-dependent lymphohematopoietic and neural cells. Regulates cell death by controlling the mitochondrial membrane permeability. Appears to function in a feedback loop system with caspases. Inhibits caspase activity either by preventing the release of cytochrome c from the mitochondria and/or by binding to the apoptosis-activating factor (APAF-1). Subunit: Forms homodimers, and heterodimers with BAX, BAD, BAK and Bcl-X(L). Heterodimerization with BAX requires intact BH1 and BH2 motifs, and is necessary for anti-apoptotic activity. Interacts with EI24 (By similarity). Also interacts with APAF1, BBC3, BCL2L1, BNIPL, MRPL41 and TP53BP2. Binding to FKBP8 seems to target BCL2 to the mitochondria and probably interferes with the binding of BCL2 to its targets. Interacts with BAG1 in an ATP-dependent manner. Interacts with RAF1 (the 'Ser-338' and 'Ser-339' phosphorylated form). Interacts (via the BH4 domain) with EGLN3; the interaction prevents the formation of the BAX-BCL2 complex and inhibits the anti-apoptotic activity of BCL2. Interacts with G0S2; this interaction also prevents the formation of the anti-apoptotic BAX-BCL2 complex. Subcellular Location: Mitochondrion outer membrane; Single-pass membrane protein. Nucleus membrane; Single-pass membrane protein. Endoplasmic reticulum membrane; Single-pass membrane protein. Tissue Specificity: Expressed in a variety of tissues. Post-translational modifications: Phosphorylation/dephosphorylation on Ser-70 regulates anti-apoptotic activity. Growth factor-stimulated phosphorylation on Ser-70 by PKC is required for the anti-apoptosis activity and occurs during the G2/M phase of the cell cycle. In the absence of growth factors, BCL2 appears to be phosphorylated by other protein kinases such as ERKs and stress-activated kinases. Phosphorylated by MAPK8/JNK1 at Thr-69, Ser-70 and Ser-87, wich stimulates starvation-induced autophagy. Dephosphorylated by protein phosphatase 2A (PP2A). DISEASE: Note=A chromosomal aberration involving BCL2 has been found in chronic lymphatic leukemia. Translocation t(14;18)(q32;q21) with immunoglobulin gene regions. BCL2 mutations found in non-Hodgkin lymphomas carrying the chromosomal translocation could be attributed to the Ig somatic hypermutation mechanism resulting in nucleotide transitions. Similarity: Belongs to the Bcl-2 family. Database links : UniProtKB/Swiss-Prot: P10415.2 (humna) UniProtKB/Swiss-Prot: P49950.2 (rat) UniProtKB/Swiss-Prot: P10417.3(mouse) SWISS: P49950 Gene ID: 596 Database links: Entrez Gene: 596 Human Entrez Gene: 12043 Mouse Omim: 151430 Human SwissProt: P10415 Human SwissProt: P10417 Mouse Unigene: 150749 Human Unigene: 257460 Mouse Unigene: 9996 Rat Important Note: This product as supplied is intended for research use only, not for use in human, therapeutic or diagnostic applications. |





