

貨號
產品規格
售價
備注
BN40295R-100ul
100ul
¥2360.00
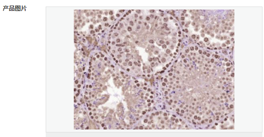
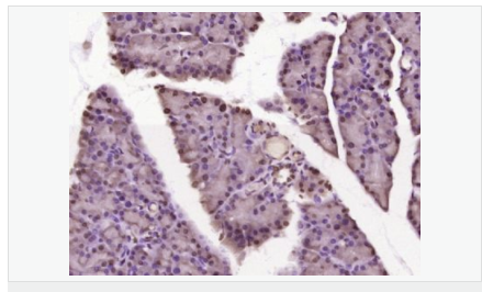
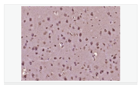
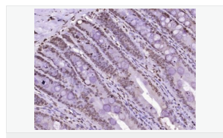
交叉反應:Mouse,Rat(predicted:Human,Dog,Pig,Cow,Horse,Rabbit,Sheep) 推薦應用:IHC-P,IHC-F,ICC,IF,ELISA
BN40295R-200ul
200ul
¥3490.00
交叉反應:Mouse,Rat(predicted:Human,Dog,Pig,Cow,Horse,Rabbit,Sheep) 推薦應用:IHC-P,IHC-F,ICC,IF,ELISA
產品描述
| 英文名稱 | MYO6 |
| 中文名稱 | 肌球蛋白6抗體 |
| 別 名 | Deafness autosomal recessive 37; DFNA 22; DFNA22; DFNB 37; DFNB37; KIAA0389; MYO 6; Myo6; MYO6_HUMAN; Myosin 6; Myosin VI; Myosin-VI; Myosin6; MyosinVI; Unconventional myosin-6. |
| 研究領域 | 神經生物學 信號轉導 細胞外基質 |
| 抗體來源 | Rabbit |
| 克隆類型 | Polyclonal |
| 交叉反應 | Mouse, Rat, (predicted: Human, Dog, Pig, Cow, Horse, Rabbit, Sheep, ) |
| 產品應用 | WB=1:500-2000 ELISA=1:5000-10000 IHC-P=1:100-500 IHC-F=1:100-500 ICC=1:100-500 IF=1:100-500 (石蠟切片需做抗原修復) not yet tested in other applications. optimal dilutions/concentrations should be determined by the end user. |
| 分 子 量 | 150kDa |
| 細胞定位 | 細胞核 細胞漿 細胞膜 細胞外基質 |
| 性 狀 | Liquid |
| 濃 度 | 1mg/ml |
| 免 疫 原 | KLH conjugated synthetic peptide derived from human Myosin VI:1101-1294/1294 |
| 亞 型 | IgG |
| 純化方法 | affinity purified by Protein A |
| 儲 存 液 | 0.01M TBS(pH7.4) with 1% BSA, 0.03% Proclin300 and 50% Glycerol. |
| 保存條件 | Shipped at 4℃. Store at -20 °C for one year. Avoid repeated freeze/thaw cycles. |
| PubMed | PubMed |
| 產品介紹 | Myosin VI a molecular motor involved in intracellular vesicle and organelle transport, is the only Myosin motor that binds to the pointed end of Actin. This unique Myosin has only one light chain in the lever-arm domain and has highly irregular stepping with a wide range of step sizes, unlike that of other characterized Myosins. It associates with Clathrin-coated vesicles and disabled 2, indicating a role for Myosin VI in endocytosis. Mouse Myosin VI is expressed within the sensory hair cells of the cochlea. Human Myosin VI is mapped to the centromeric region of chromosome 6, a region that shows syntenic homology with the corresponding mouse chromosome 9 region, where the Snell’s Waltzer mutation is located. The behavioral effects of the mouse Snell’s Waltzer mutation are lack of responsiveness to sound, hyperactivity, head tossing and circling, due to the disorganization and fusing of stereocilia bundles within the inner ear. Defects of Myosin VI cause autosomal dominant nonsyndromic sensori-neural deafness in humans. Human Myosin VI is expressed in fetal cochlea and brain, as well as in adult brain. Function: Myosins are actin-based motor molecules with ATPase activity. Unconventional myosins serve in intracellular movements. Myosin 6 is a reverse-direction motor protein that moves towards the minus-end of actin filaments. Has slow rate of actin-activated ADP release due to weak ATP binding. Functions in a variety of intracellular processes such as vesicular membrane trafficking and cell migration. Required for the structural integrity of the Golgi apparatus via the p53-dependent pro-survival pathway. Appears to be involved in a very early step of clathrin-mediated endocytosis in polarized epithelial cells. May act as a regulator of F-actin dynamics. May play a role in transporting DAB2 from the plasma membrane to specific cellular targets. Required for structural integrity of inner ear hair cells. Subunit: Homodimer. Binding to calmodulin through a unique insert, not found in other myosins, located in the neck region between the motor domain and the IQ domain appears to contribute to the directionality reversal. This interaction occurs only if the C-terminal lobe of calmodulin is occupied by calcium. Interaction with F-actin/ACTN1 occurs only at the apical brush border domain of the proximal tubule cells (By similarity). Interacts with DAB2. In vitro, the C-terminal globular tail binds a C-terminal region of DAB2. Interacts with CFTR. Forms a complex with CFTR and DAB2 in the apical membrane of epithelial cells. Interacts with OPTN (By similarity). Subcellular Location: Cytoplasmic vesicle > clathrin-coated vesicle membrane; Cytoplasmic vesicle > clathrin-coated vesicle membrane. Cell projection > ruffle membrane and Golgi apparatus > trans-Golgi network membrane. Golgi apparatus. Nucleus. Cytoplasm > perinuclear region. Membrane > clathrin-coated pit. Cell projection > ruffle membrane. Also present in endocyctic vesicles, and membrane ruffles. Translocates from membrane ruffles, endocytic vesicles and cytoplasm to Golgi apparatus, perinuclear membrane and nucleus through induction by p53 and p53-induced DNA damage. Recruited into membrane ruffles from cell surface by EGF-stimulation. Colocalizes with DAB2 in clathrin-coated pits/vesicles. Colocalizes with OPTN at the Golgi complex and in vesicular structures close to the plasma membrane. Tissue Specificity: Expressed in most tissues examined including heart, brain, placenta, pancreas, spleen, thymus, prostate, testis, ovary, small intestine and colon. Highest levels in brain, pancreas, testis and small intestine. Also expressed in fetal brain and cochlea. Isoform 1 and isoform 2, containing the small insert, and isoform 4, containing neither insert, are expressed in unpolarized epithelial cells. Post-translational modifications: Phosphorylation in the motor domain, induced by EGF, results in translocation of MYO6 from the cell surface to membrane ruffles and affects F-actin dynamics. Phosphorylated in vitro by p21-activated kinase (PAK) (By similarity). DISEASE: Defects in MYO6 are the cause of deafness autosomal dominant type 22 (DFNA22) [MIM:606346]. DFNA22 is a form of sensorineural hearing loss. Sensorineural deafness results from damage to the neural receptors of the inner ear, the nerve pathways to the brain, or the area of the brain that receives sound information. DFNA22 is progressive and postlingual, with onset during childhood. By the age of approximately 50 years, affected individuals invariably have profound sensorineural deafness. Defects in MYO6 are the cause of deafness autosomal recessive type 37 (DFNB37). Defects in MYO6 are the cause of deafness sensorineural with hypertrophic cardiomyopathy (DFNHCM). Similarity: Contains 1 IQ domain. Contains 1 myosin head-like domain. SWISS: Q9UM54 Gene ID: 4646 Database links: Entrez Gene: 4646 Human Entrez Gene: 17920 Mouse Omim: 600970 Human SwissProt: Q9UM54 Human SwissProt: Q64331 Mouse Unigene: 149387 Human Unigene: 4040 Mouse Important Note: This product as supplied is intended for research use only, not for use in human, therapeutic or diagnostic applications. |



